症例詳細
Case detail
【矮小歯】オールセラミッククラウン
治療症例の内容
- 診療科目
- 治療カテゴリ
- 担当医
- 河口智英(ドクタープロフィール)
- 患者様
- 20代女性
- 治療期間
- 1ヶ月
- 治療回数
- 2-5回
- 治療計画
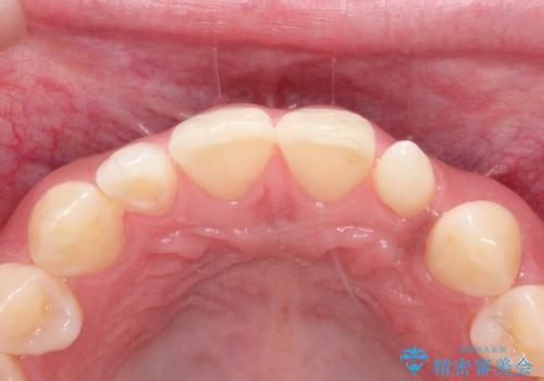
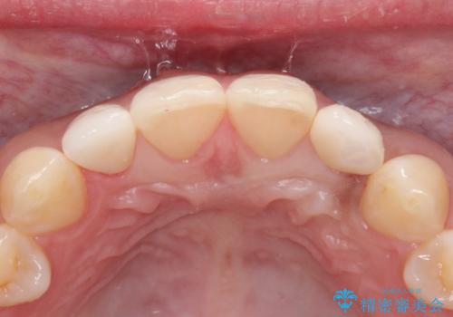
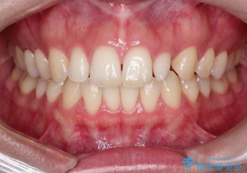
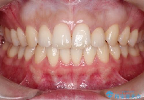
- 側切歯が小さいことを主訴に来院されました。
いくつかの治療の選択肢を説明し、オールセラミッククラウンで治療することとなりました。
- 費用(概算)
- 38万円費用は治療当時の料金となります
治療について
長期的に安定した治療を求める場合はオールセラミッククラウンによる治療を提案します。
セラミック治療の注意事項(リスク・副作用など)
- 天然歯を削ります
- 硬い素材は天然歯を傷つけてしまう場合があります
- かみ合わせや歯ぎしりが強すぎる方はセラミックが割れてしまう可能性があります
- 自費診療(保険適用外治療)となります
当サイトの内容、テキスト、画像等の無断転載、複製、複写、盗用を固く禁じます。







