症例・治療例紹介
Cases
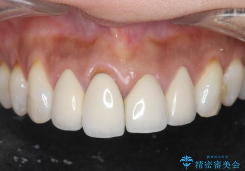
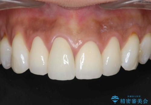
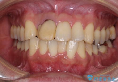
セラミック治療 → 前歯クラウン(オールセラミック)
3ページ目 / 73
前歯の見た目を良くしたい オールセラミッククラウン
担当医 有澤哲郎


前歯を綺麗にしたい オールセラミッククラウン
担当医 小澤俊哉


前歯のがたつき 保険治療の前歯の被せ物もやりかえたい


CRの劣化による虫歯|虫歯治療|セラミッククラウン|審美回復|神経を残す治療
担当医 河野豊嘉


奥に引っ込んでいる前歯を並べたい 矯正治療とセラミック治療


前歯が大きいのが気になる セラミックで整えたい


金属色の見える前歯 オールセラミックで審美治療
担当医 大元洋佑


[メタルフリー] 虫歯・銀歯だらけの口腔内を全顎治療
![[メタルフリー] 虫歯・銀歯だらけの口腔内を全顎治療の症例 治療前](https://seimitsushinbi.jp/wp/wp-content/uploads/2025/03/e26a9887bc6905a2f0f51f5772b5ac9c-500x350.jpg?v=1741918285)
![[メタルフリー] 虫歯・銀歯だらけの口腔内を全顎治療の症例 治療後](https://seimitsushinbi.jp/wp/wp-content/uploads/2025/03/530cf6cca6451bc106a9fb69dd58908a-500x350.jpg?v=1741918343)
隠れている前歯 インビザライン矯正治療と前歯のセラミック治療


首の皮一枚で繋がっている前歯 1DAYインプラントでスムーズに治療


前歯4本のセラミック治療|抜歯即時インプラント+歯根端切除術で機能と美しさを回復


前歯の見た目が気になる|オールセラミッククラウンで見た目を改善
担当医 河野豊嘉


前歯のセラミッククラウン 詰め物が取れた


前歯の見た目が気になる。
担当医 青山卓弘


[ 審美歯科 ] 前歯セラミック治療の再治療
担当医 大元洋佑
![[ 審美歯科 ] 前歯セラミック治療の再治療の症例 治療前](https://seimitsushinbi.jp/wp/wp-content/uploads/2025/02/75321d6ba3daff4b7b0dad4b41050d2a-500x350.jpg?v=1739351948)
![[ 審美歯科 ] 前歯セラミック治療の再治療の症例 治療後](https://seimitsushinbi.jp/wp/wp-content/uploads/2025/02/072789f35cbfa80728bff15f84799af9-500x350.jpg?v=1739351952)
セラミック治療の注意事項(リスク・副作用など)
- 天然歯を削ります
- 硬い素材は天然歯を傷つけてしまう場合があります
- かみ合わせや歯ぎしりが強すぎる方はセラミックが割れてしまう可能性があります
- 自費診療(保険適用外治療)となります
