症例・治療例紹介
Cases
セラミック治療 → 前歯クラウン(オールセラミック)
25ページ目 / 73
多発した虫歯による咬合崩壊 インプラントを用いた全顎治療
担当医 大元洋佑


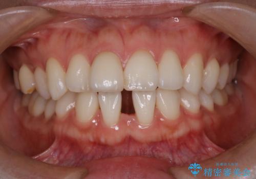
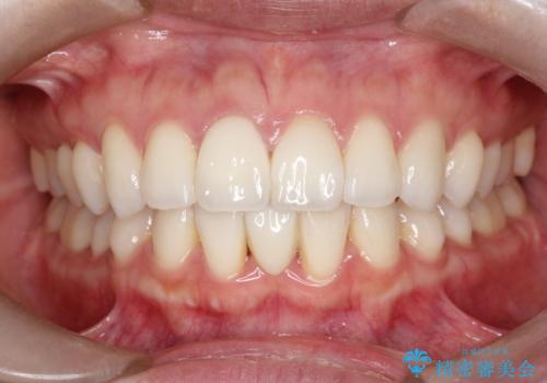
[ セラミック治療 ] 前歯を自然にしたい、セラミッククラウンのやりかえ
担当医 大元洋佑
![[ セラミック治療 ] 前歯を自然にしたい、セラミッククラウンのやりかえの症例 治療前](https://seimitsushinbi.jp/wp/wp-content/uploads/2022/02/771f39d281c5095ad94cbf96f730d007-500x350.jpg?v=1644041614)
![[ セラミック治療 ] 前歯を自然にしたい、セラミッククラウンのやりかえの症例 治療後](https://seimitsushinbi.jp/wp/wp-content/uploads/2022/02/b9ee13367ab56d7729121dc9c683836d-500x350.jpg?v=1644041633)
【オールセラミッククラウン】前歯の被せ物
担当医 河口智英


ラミネートベニアがかけた。オールセラミッククラウンで修復
担当医 河口智英


前歯の虫歯 つぎはぎの歯をセラミックに


下の前歯のブリッジ 保険治療のやり替え


[ セラミック・インプラント全顎治療 ] 長年悩まされている歯の治療にケリをつけたい
![[ セラミック・インプラント全顎治療 ] 長年悩まされている歯の治療にケリをつけたいの症例 治療前](https://seimitsushinbi.jp/wp/wp-content/uploads/2022/01/699ba08b6e311b07f9d2ea9a5b757aea-500x350.jpg?v=1642042101)
![[ セラミック・インプラント全顎治療 ] 長年悩まされている歯の治療にケリをつけたいの症例 治療後](https://seimitsushinbi.jp/wp/wp-content/uploads/2022/01/f4f9ee9ff7018c558de74748d97a4667-500x350.jpg?v=1642042445)
茶色になった前歯 オーダーメイドタイプのオールセラミッククラウン


むし歯だらけの歯を治したい インプラントを用いた補綴治療


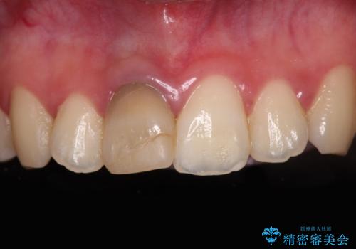
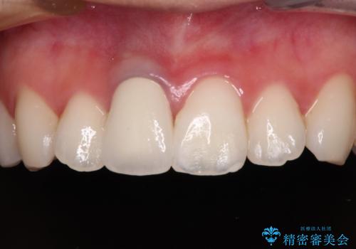
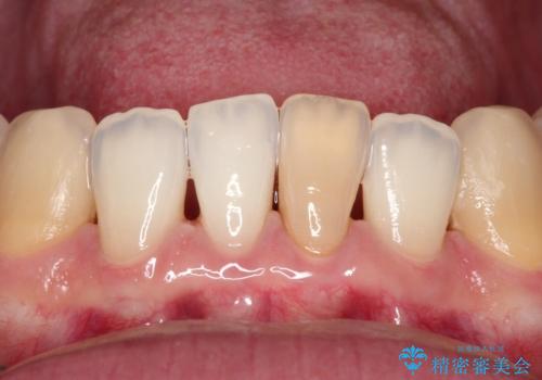
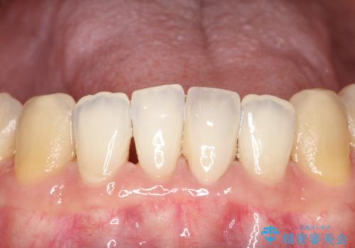
[ セラミック治療 ]前歯の見た目を改善したい
担当医 大元洋佑
![[ セラミック治療 ]前歯の見た目を改善したいの症例 治療前](https://seimitsushinbi.jp/wp/wp-content/uploads/2022/01/C35-500x350.jpg?v=1641867634)
![[ セラミック治療 ]前歯の見た目を改善したいの症例 治療後](https://seimitsushinbi.jp/wp/wp-content/uploads/2022/01/cb5a2c1ef0c95097932f71ef754b953a-500x350.jpg?v=1641867614)
歯並びの改善とインプラントでのかみ合わせの回復 インプラント・セラミック・矯正全顎治療


どこで咬んでいいのか分からない インプラント・オーバーデンチャーによる補綴治療


前歯の形を変えたい 前歯のラミネートベニア治療


【長いポストの歯】再根管治療からオールセラミッククラウン
担当医 河口智英


下顎前歯のセラミッククラウン
担当医 河口智英


セラミック治療の注意事項(リスク・副作用など)
- 天然歯を削ります
- 硬い素材は天然歯を傷つけてしまう場合があります
- かみ合わせや歯ぎしりが強すぎる方はセラミックが割れてしまう可能性があります
- 自費診療(保険適用外治療)となります
