症例・治療例紹介
Cases
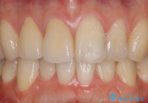
セラミック治療 → 前歯クラウン(オールセラミック)
23ページ目 / 73
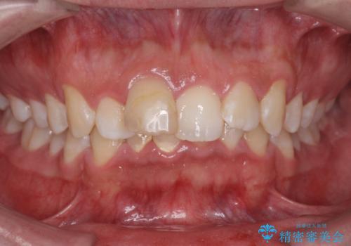
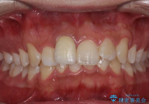
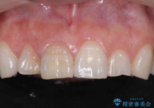
前歯が折れたついでに歯並びも改善 矯正治療と前歯のセラミック治療


欠損歯列の矯正治療とインプラント治療


抜歯が必要と言われた前歯 根管治療とオールセラミッククラウン


転んで前歯が折れた 何とか残したい


変色した前歯をセラミックでひっこめたい


かけた前歯をきれいにしたい


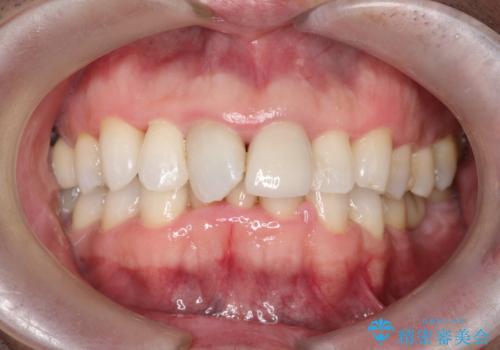
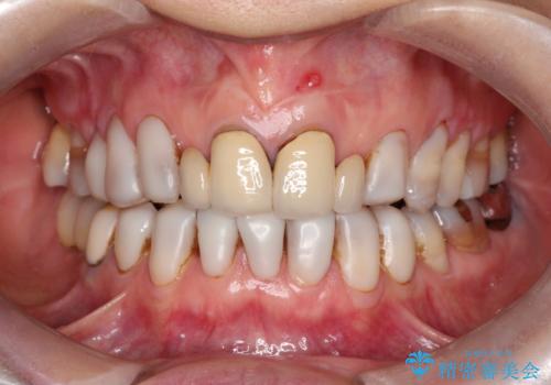
[ 歯周病による多数歯の欠損 ] 全顎的インプラント・歯周病治療
担当医 大元洋佑
![[ 歯周病による多数歯の欠損 ] 全顎的インプラント・歯周病治療の症例 治療前](https://seimitsushinbi.jp/wp/wp-content/uploads/2022/06/740883583879a0822e9bd95ed27b74e6-500x350.jpg?v=1654154479)
![[ 歯周病による多数歯の欠損 ] 全顎的インプラント・歯周病治療の症例 治療後](https://seimitsushinbi.jp/wp/wp-content/uploads/2022/06/18521d85f6e9e57a2f920c41423bc5b8-500x350.jpg?v=1654154185)
【オールセラミッククラウン】ダイレクトボンディングからのやりかえ
担当医 河口智英


【オールセラミッククラウン】前歯を綺麗にしたい。
担当医 河口智英


前歯2本の着色が気になる、、、セラミック治療
担当医 菊地俊介


以前治療した前歯をきれいに治したい オールセラミッククラウン
担当医 齋藤佑磨


変色した前歯 根の治療とセラミックで白い歯に


前歯の変色 セラミッククラウンによる審美性の回復
担当医 大元洋佑


不自然な前歯 歯肉移植を用いた前歯のオールセラミックブリッジ


結婚式までに前歯をきれいに オールセラミッククラウンの審美歯科治療


セラミック治療の注意事項(リスク・副作用など)
- 天然歯を削ります
- 硬い素材は天然歯を傷つけてしまう場合があります
- かみ合わせや歯ぎしりが強すぎる方はセラミックが割れてしまう可能性があります
- 自費診療(保険適用外治療)となります
