症例・治療例紹介
Cases
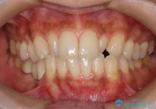
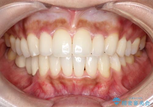
セラミック治療 → 前歯クラウン(オールセラミック)
20ページ目 / 73
50代女性 前歯のつめものがとれた これを機に前歯をきれいにしたい


短期間で歯並びをきれいにしたい セラミックでかぶせる治療でも良い
担当医 井上季実子


受け口 なんと部分矯正で治るんです!! インプラントを含めた総合歯科治療
担当医 井上季実子


長く見える歯を治したい 歯肉移植による歯肉増大術


歯周病治療を伴う前歯審美セラミック治療


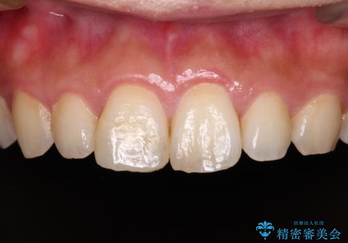
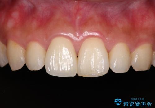
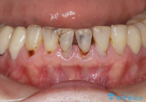
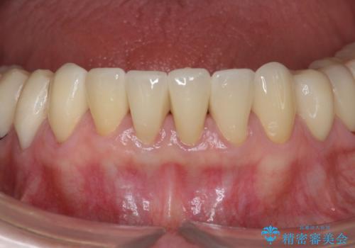
[ 前歯のセラミック治療 ] 前歯を自然にしたい
担当医 大元洋佑
![[ 前歯のセラミック治療 ] 前歯を自然にしたいの症例 治療前](https://seimitsushinbi.jp/wp/wp-content/uploads/2022/11/dee4397f7a1ff4c484d0857692b7a946-500x350.jpg?v=1668215491)
![[ 前歯のセラミック治療 ] 前歯を自然にしたいの症例 治療後](https://seimitsushinbi.jp/wp/wp-content/uploads/2022/11/b605dce27bad93330efea33c73c0dea4-500x350.jpg?v=1668215512)
【オールセラミッククラウン】矮小歯の治療
担当医 河口智英


【精密根管治療+オールセラミッククラウン】より自然な前歯にしたい!


転倒で折れてしまった前歯 インプラントによるオールセラミックブリッジ治療


転んで欠けてしまった前歯 オーダーメイドのオールセラミッククラウン


内側に倒れた前歯と口元の突出感 ワイヤー装置での抜歯矯正


急速拡大装置 前歯の反対咬合をインビザラインで改善


【モニター】左右のクロスバイトをインビザラインできれいに改善


前歯のセラミック治療
担当医 青山卓弘


シェーグレン症候群で多発した虫歯 前歯のセラミック治療
担当医 大元洋佑


セラミック治療の注意事項(リスク・副作用など)
- 天然歯を削ります
- 硬い素材は天然歯を傷つけてしまう場合があります
- かみ合わせや歯ぎしりが強すぎる方はセラミックが割れてしまう可能性があります
- 自費診療(保険適用外治療)となります
