症例・治療例紹介
Cases
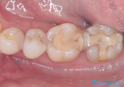
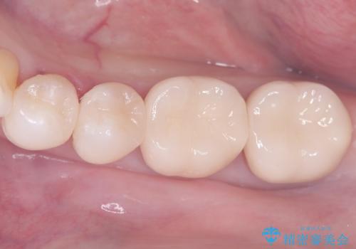
セラミック治療 → セラミックインレー
2ページ目 / 49
奥歯のむし歯が痛い セラミックによるむし歯治療


むし歯と八重歯を治したい 総合歯科治療


低侵襲なインプラント|痛くないインプラント|エンドペリオ病変|虫歯治療|セラッミクインレー


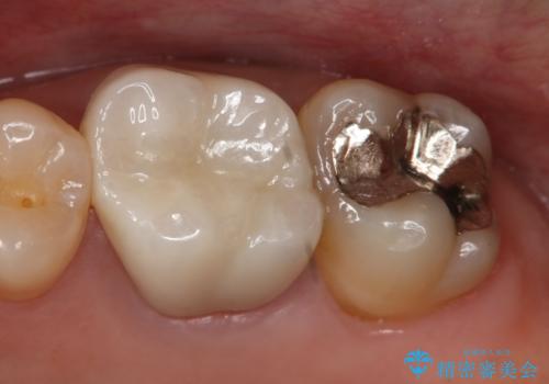
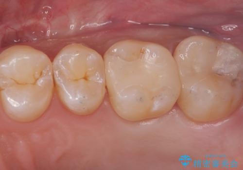
セラッミクインレー|オールセラミッククラウン|銀歯による二次カリエス|ラバーダムシート使用


セラミックで叶える集中審美治療


【インビザライン】歯の本数少ないのにがたつきがある セラミックインレー


セラミック治療の注意事項(リスク・副作用など)
- 天然歯を削ります
- 硬い素材は天然歯を傷つけてしまう場合があります
- かみ合わせや歯ぎしりが強すぎる方はセラミックが割れてしまう可能性があります
- 自費診療(保険適用外治療)となります


















