症例・治療例紹介
Cases
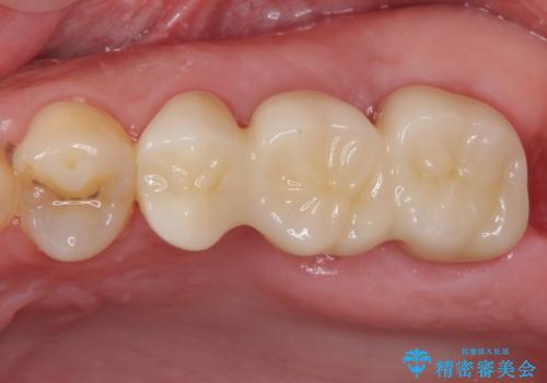
セラミック治療 → 奥歯ブリッジ
13ページ目 / 20
[深い虫歯] 根管治療・歯周外科治療を行い歯を保存する
![[深い虫歯] 根管治療・歯周外科治療を行い歯を保存するの症例 治療前](https://seimitsushinbi.jp/wp/wp-content/uploads/2019/10/565cd81632432c46200480d3f4728f8d-500x350.jpg?v=1572444569)
![[深い虫歯] 根管治療・歯周外科治療を行い歯を保存するの症例 治療後](https://seimitsushinbi.jp/wp/wp-content/uploads/2019/10/f94f918301554464d21b1fb7c0a3d93b-500x350.jpg?v=1572444693)
奥歯が虫歯だらけ セラミックやインプラントによる虫歯治療


奥歯の目立つ銀歯を白くしたい


歯医者嫌いで歯がボロボロに 外科処置を用いた抜かない補綴治療


歯周病 全顎治療


どんなに歯を磨いても治らない 重度歯周病患者の治療
担当医 藤巻太一朗


オールセラミッククラウン 歯肉より深い虫歯の治療


重度に吸収した歯槽骨を再建 インプラント咬合機能回復


金属製のブリッジをオールセラミックで再作する


オールセラミッククラウン 全体的な歯の治療


[30代男性] インプラント 失った歯の治療
![[30代男性] インプラント 失った歯の治療の症例 治療前](https://seimitsushinbi.jp/wp/wp-content/uploads/2019/08/ba89fd5a013b0fc9a8d6178054e2526a-500x350.jpg)
![[30代男性] インプラント 失った歯の治療の症例 治療後](https://seimitsushinbi.jp/wp/wp-content/uploads/2019/08/IMG_0017-500x350.jpg)
セラミック治療の注意事項(リスク・副作用など)
- 天然歯を削ります
- 硬い素材は天然歯を傷つけてしまう場合があります
- かみ合わせや歯ぎしりが強すぎる方はセラミックが割れてしまう可能性があります
- 自費診療(保険適用外治療)となります





![[大臼歯分岐部病変] ブリッジによる咬合機能回復の症例 治療前](https://seimitsushinbi.jp/wp/wp-content/uploads/2019/10/78f1af931ab08dc750003050c19aa1ac-500x350.jpg?v=1572483914)
![[大臼歯分岐部病変] ブリッジによる咬合機能回復の症例 治療後](https://seimitsushinbi.jp/wp/wp-content/uploads/2019/10/d83c93342fb6a1994450a5e6f3ef55da-500x350.jpg?v=1572483951)

