症例・治療例紹介
Cases
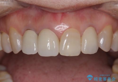
セラミック治療 → 前歯クラウン(オールセラミック)
12ページ目 / 73
折れてしまった前歯 オールセラミックによる審美改善
担当医 大元洋佑


変色した歯を改善、セラミック治療
担当医 大元洋佑


[ 精密セラミック治療 ] 前歯の破折 根尖病変
担当医 大元洋佑
![[ 精密セラミック治療 ] 前歯の破折 根尖病変 の症例 治療前](https://seimitsushinbi.jp/wp/wp-content/uploads/2024/04/d00257b606c9200e29dbcf4134534436-500x350.jpg?v=1712302394)
![[ 精密セラミック治療 ] 前歯の破折 根尖病変 の症例 治療後](https://seimitsushinbi.jp/wp/wp-content/uploads/2024/04/67630606a51a194d9b26f9bb002f4099-500x350.jpg?v=1712302423)
前歯のセラミック 神経の再治療から


前歯の変色 神経のない歯の再治療


全体的な虫歯治療 他院で入れたインプラントの続きも


前歯のかぶせもののやり直し、根の治療も


根元がうずく前歯 根管治療とオールセラミック治療


色の不釣り合いな前歯 オールセラミッククラウンで調和の取れた前歯に


酸蝕歯でボロボロの歯の審美歯科治療 矯正治療も併用して、美しい口元へ


歯列から飛び出た歯 ワイヤー矯正で整った歯列に


ハーフリンガルで歯列をきれいに セラミック治療で気になる銀歯も自然な色に


気になる出っ歯を治したい 抜歯矯正でスッキリした横顔に


痛むむし歯と小さい歯とデコボコ むし歯治療と矯正治療を並行した総合歯科治療


矮小歯と欠損によるずれた位置の大きな歯 オールセラミッククラウンで自然に


セラミック治療の注意事項(リスク・副作用など)
- 天然歯を削ります
- 硬い素材は天然歯を傷つけてしまう場合があります
- かみ合わせや歯ぎしりが強すぎる方はセラミックが割れてしまう可能性があります
- 自費診療(保険適用外治療)となります
