症例詳細
Case detail
- 患者様
- 40代女性
- 矯正装置
- インビザライン
- 治療期間
- 3年8ヶ月
- 治療回数
- 30回以上
- 治療計画
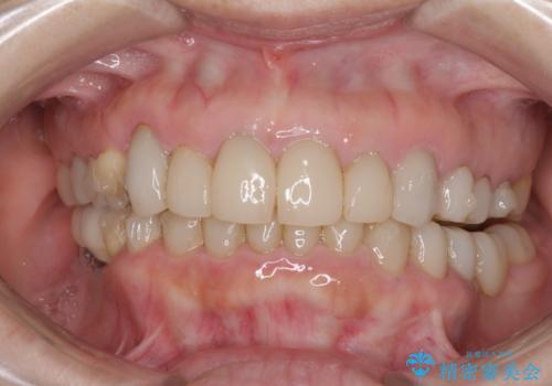
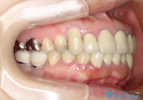
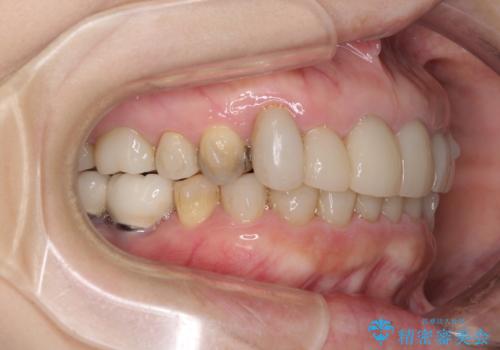
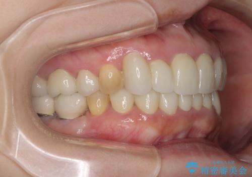
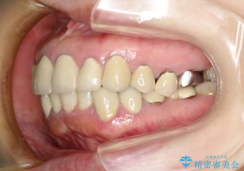
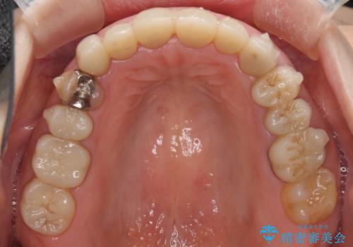
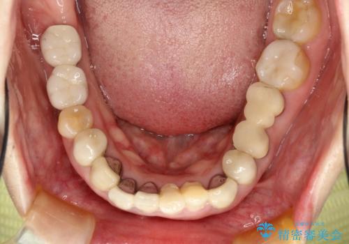
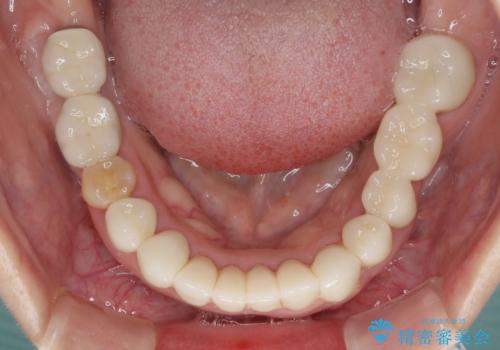
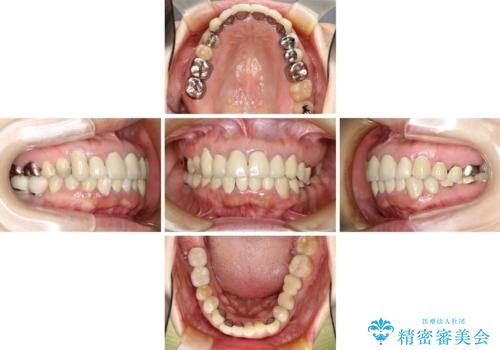
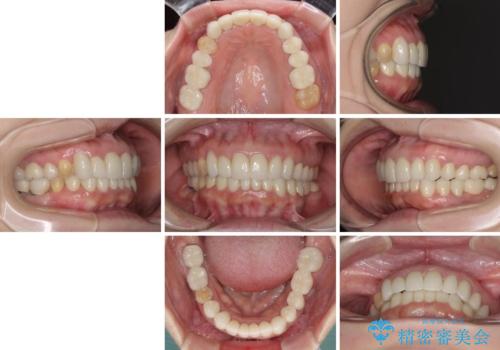
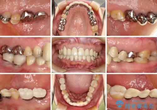
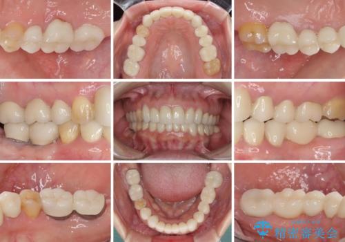
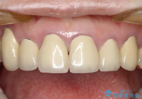
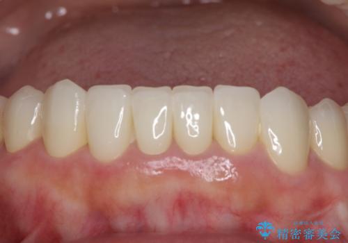
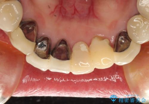
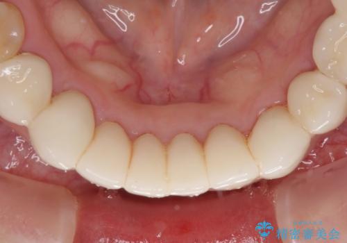
- 下顎の前歯に激痛を覚えて来院された患者様です。
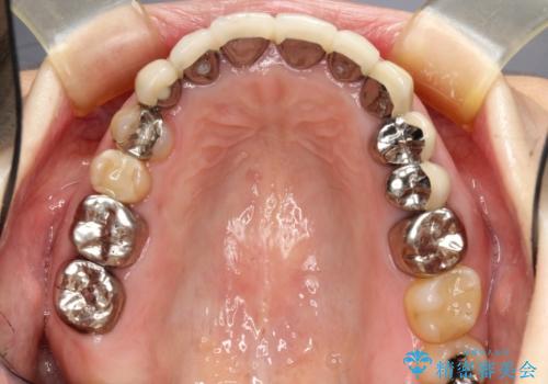
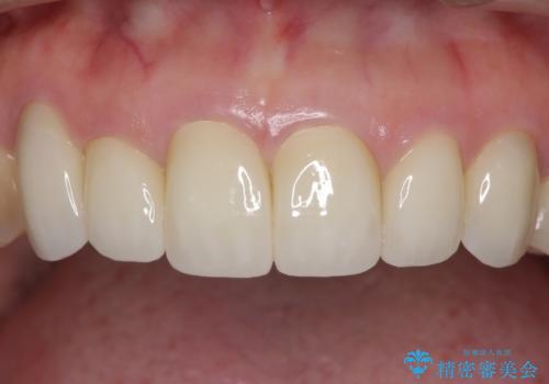
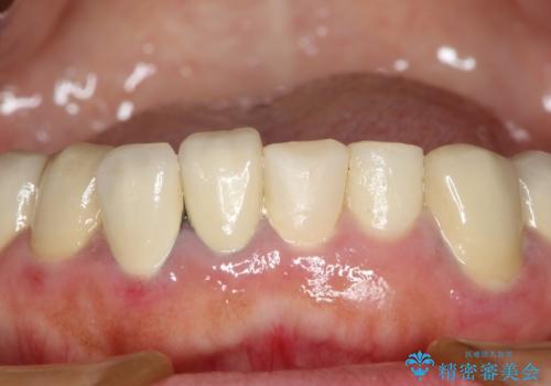
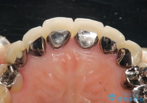
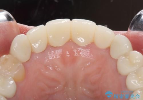
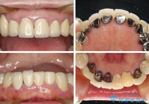
取り急ぎ下顎前歯数歯の根管治療を、銀座しらゆり歯科医院長の林先生にお願いし、それ以外に気になっている、不自然な色調のクラウン、金属部分が見えてブラッシングがしにくいインプラント補綴、口元の突出感、出血のしやすい歯周ポケットなど、全てを解決するための治療を行うこととしました。
- 費用(概算)
- 治療費の目安: 550万円費用は治療当時の料金となります
治療について
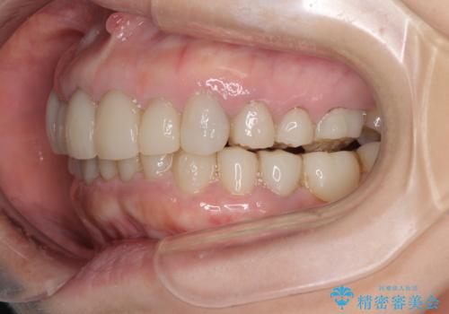
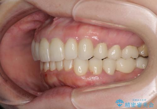
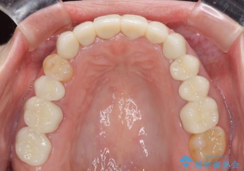
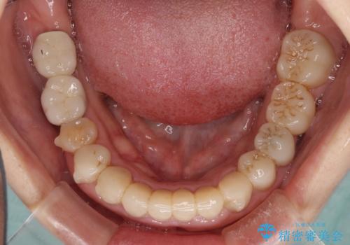
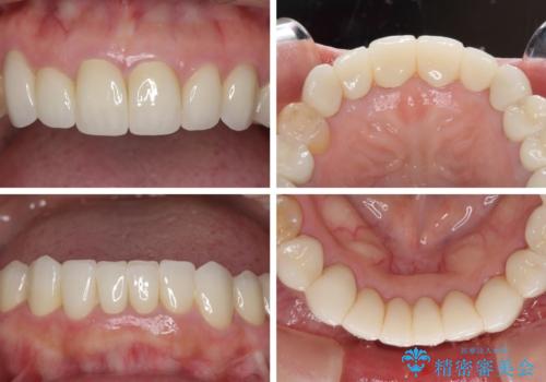
期間と費用はかかりましたが、気になっていた部分全てを改善でき、患者様には大変満足していただきました。
セラミック治療の注意事項(リスク・副作用など)
- 天然歯を削ります
- 硬い素材は天然歯を傷つけてしまう場合があります
- かみ合わせや歯ぎしりが強すぎる方はセラミックが割れてしまう可能性があります
- 自費診療(保険適用外治療)となります
マウスピース矯正の注意事項(リスク・副作用など)
- 口腔内・歯並びの状態によっては対応できない場合があります
- マウスピース型矯正装置の長時間装着(1日20時間以上)が必須です
- 治療計画通りに進めるためには、患者様の意志が重要になります
- 矯正治療後の保定が不十分だと後戻り(元の位置に戻ろうとする動き)をします
- 薬機法対象外の矯正歯科装置のため医薬品副作用被害救済制度の対象外となる場合があります
- 自費診療(保険適用外)となります
歯周病治療の注意事項(リスク・副作用など)
- 外科手術のため、術後に痛みや腫れ、違和感を伴います
- 歯周組織再生治療は患者様の状態によって術後の経過が異なります(見た目が改善しない場合もあります)
- 歯周組織再生治療は自費診療(保険適用外)となります
根管治療の注意事項(リスク・副作用など)
- 根管治療により類似の全ての症例の問題が解決するわけではなく、症例はあくまでも一例です
- 根管治療により痛みや腫れがひかない事や、術後に痛みや腫れが生じる事、治療によるファイル破折やパーフォレーションなどの偶発症、術後の歯根破折を生じる可能性もあります
- 自費診療(保険適用外)となります
当サイトの内容、テキスト、画像等の無断転載、複製、複写、盗用を固く禁じます。







































