症例詳細
Case detail
補助装置を併用してスムーズに インビザラインによる矯正治療
治療症例の内容
- 診療科目
- 治療カテゴリ
- 担当医
- 藤巻太一朗(ドクタープロフィール)
- 患者様
- 30代男性
- 矯正装置
- インビザライン
- 治療期間
- 1年4ヶ月
- 治療回数
- 10-30回
- 治療計画
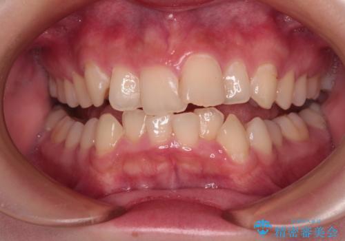
- 八重歯と飛び出している前歯を気にして来院された患者様です。
歯列としてはインビザラインでもワイヤー矯正でも対応できるものでしたが、上顎の八重歯や下顎小臼歯の捻転といったインビザラインでは時間のかかってしまう歯列不正が認められたため、補助装置やワイヤー矯正を治療当初に使用することで、インビザラインによる治療をスムーズに行えるように計画しました。
- 費用(概算)
- 治療費の目安: 100万円(税込)費用は治療当時の料金となります
治療について
インビザラインは得意・不得意の差がはっきりとしているため、ワイヤー装置などをうまく活用することで、治療期間を短縮するとともに、より理想的な仕上がりを達成することができます。
マウスピース矯正の注意事項(リスク・副作用など)
- 口腔内・歯並びの状態によっては対応できない場合があります
- マウスピース型矯正装置の長時間装着(1日20時間以上)が必須です
- 治療計画通りに進めるためには、患者様の意志が重要になります
- 矯正治療後の保定が不十分だと後戻り(元の位置に戻ろうとする動き)をします
- 薬機法対象外の矯正歯科装置のため医薬品副作用被害救済制度の対象外となる場合があります
- 自費診療(保険適用外)となります
当サイトの内容、テキスト、画像等の無断転載、複製、複写、盗用を固く禁じます。




























