症例・治療例紹介
Cases
根管治療 → リトリートメント
1ページ目 / 7
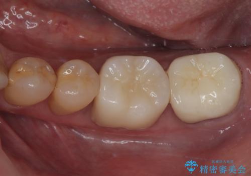
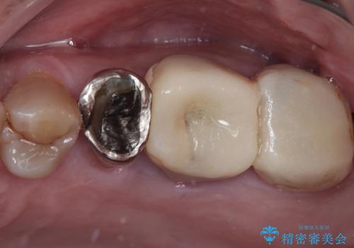
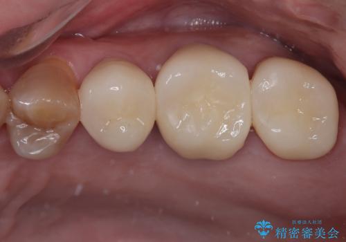
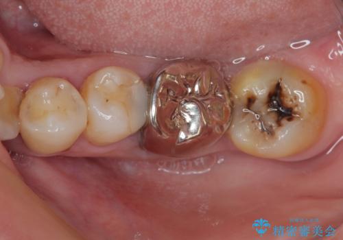
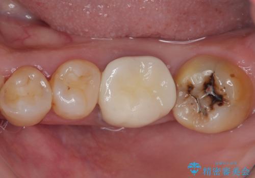
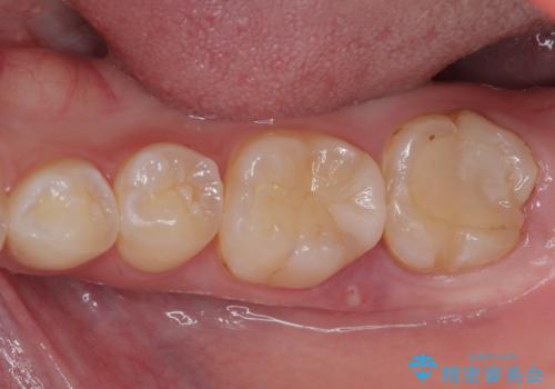
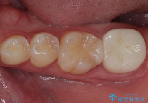
下顎大臼歯の再根管治療とオールセラミッククラウンによる補綴治療


インプラント治療を含む精密審美治療


下顎大臼歯の再根管治療とオールセラミッククラウンによる補綴治療


以前の治療箇所が痛む 全顎的なむし歯治療


不具合の多い前歯 オールセラミックブリッジ治療


他院で治らなかった根管治療を精密治療で改善|MB2を発見し再治療


噛むと痛い 奥歯のむし歯治療


根管治療と並行して矯正を マウスピース治療


70代女性 段差のある被せ物のやり替え


気になる八重歯と変色した前歯 抜歯矯正とセラミッククラウン治療


何度通院しても痛みが引かない 転医による根管治療


外側に飛び出している歯 部分矯正を用いた奥歯の補綴治療


奥歯がうずく


根管治療の注意事項(リスク・副作用など)
- 根管治療により類似の全ての症例の問題が解決するわけではなく、症例はあくまでも一例です
- 根管治療により痛みや腫れがひかない事や、術後に痛みや腫れが生じる事、治療によるファイル破折やパーフォレーションなどの偶発症、術後の歯根破折を生じる可能性もあります
- 自費診療(保険適用外)となります




