症例詳細
Case detail
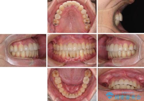
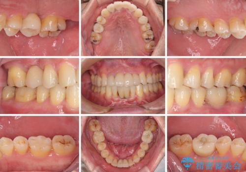
放置した歯列 矯正治療とインプラント治療で劇的に改善
- 患者様
- 40代男性
- 矯正装置
- 審美装置
- 治療期間
- 2年6ヶ月
- 治療回数
- 30回以上
- 治療計画
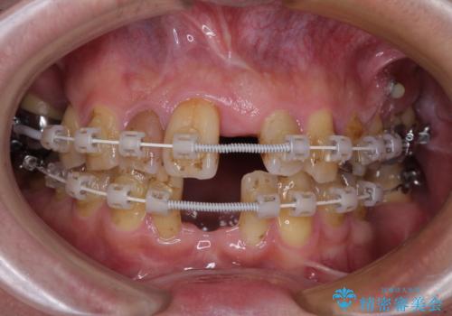
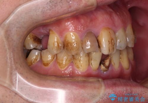
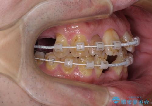
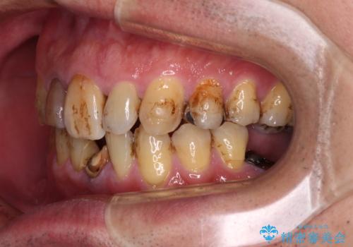
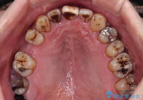
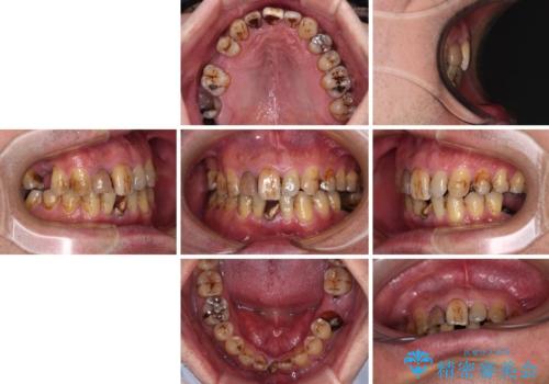
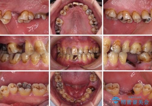
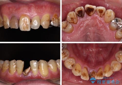
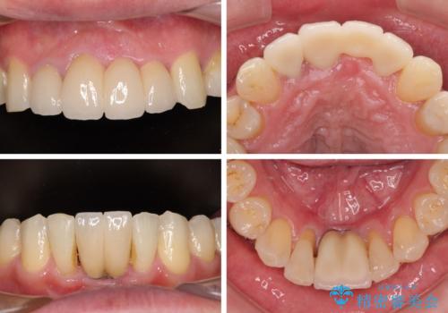
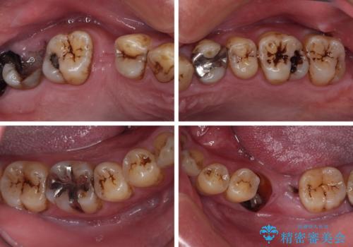
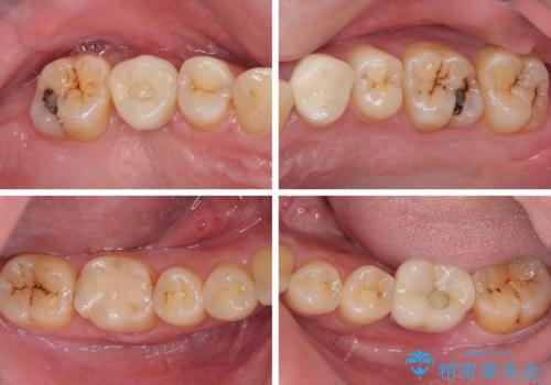
- むし歯治療途中で放置された歯が多く、スペースができたり歯が寄って来たりしているのを気にして来院された患者様です。
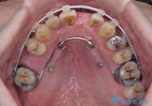
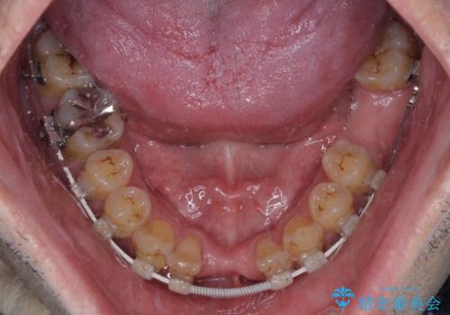
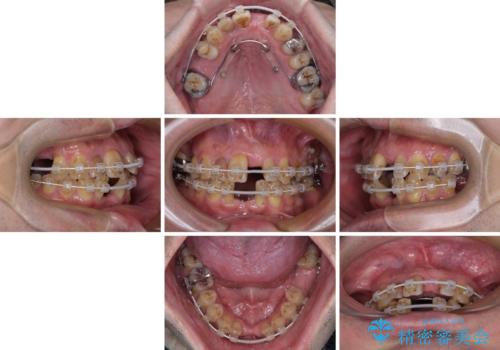
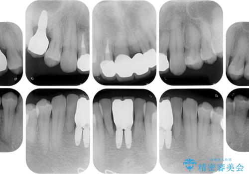
矯正治療を行いながら、欠損部はインプラントによる補綴治療を希望されたため、補助装置を用いたワイヤー矯正によりスペースを確保しながら歯列を整え、適宜インプラントを埋入していくこととしました。
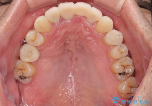
上顎前歯もインプラントを希望していらっしゃいましたが、両隣の歯根が近接しており、インプラントは困難と判断したためオールセラミックブリッジによる補綴治療を前提として治療を開始することとしました。
在宅勤務のため、前歯にスペースが長期間できることに対して特に問題はないとおっしゃったため、スペースはそのままに治療を進めていくこととしました。
- 費用(概算)
- 治療費の目安: 350万円(税込)費用は治療当時の料金となります
治療について
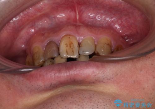
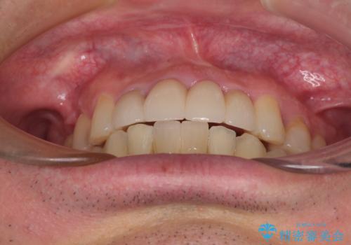
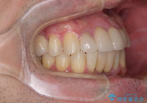
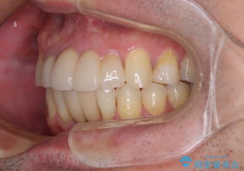
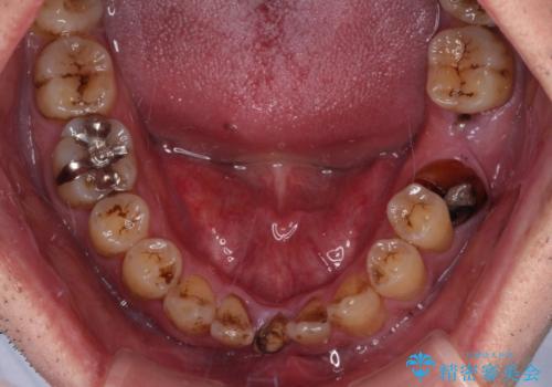
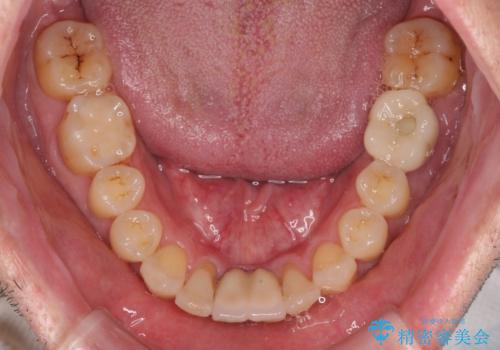
下顎前歯にインプラントを2本埋入するのは非常に困難であり、どうしても歯肉位置に土台の金属色が見えてしまう仕上がりとなりました。無理をせずに1本のみの埋入とするか、ブリッジを提案しましたが、患者様の強い希望により、2本埋入することとなり、大変満足していただけました。
ワイヤー矯正の注意事項(リスク・副作用など)
- 治療中は違和感や痛みが起こることがあります
- 症状により、抜歯が必要な場合があります
- 治療中は歯磨きがしにくくなるため、虫歯や歯周病になりやすくなります
- 矯正治療後の保定が不十分だと後戻り(元の位置に戻ろうとする動き)をします
- 自費診療(保険適用外)となります
インプラント治療の注意事項(リスク・副作用など)
- 外科手術のため、術後に痛みや腫れ、違和感を伴います
- メンテナンスを怠ったり喫煙により、お口の中に大きな悪影響を及ぼすインプラント周囲炎等にかかる可能性があります
- 糖尿病、肝硬変、心臓病等の場合、インプラント治療ができない可能性があります
- 高血圧、貧血・不整脈等の場合、インプラント治療後に治癒不全を招く可能性があります
- 自費診療(保険適用外治療)となります
セラミック治療の注意事項(リスク・副作用など)
- 天然歯を削ります
- 硬い素材は天然歯を傷つけてしまう場合があります
- かみ合わせや歯ぎしりが強すぎる方はセラミックが割れてしまう可能性があります
- 自費診療(保険適用外治療)となります
当サイトの内容、テキスト、画像等の無断転載、複製、複写、盗用を固く禁じます。



































