症例・治療例紹介
Cases
最新の症例
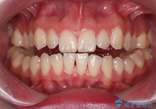
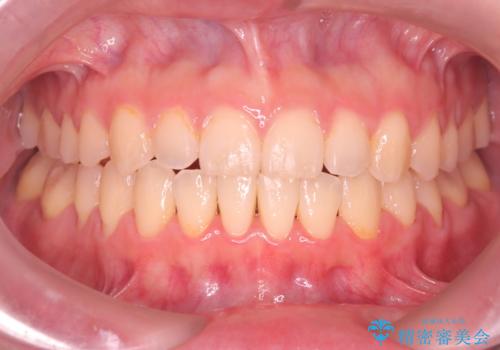
【ワイヤー矯正】がたつきを治したい
担当医 河口智英


【ワイヤー矯正】一番後ろの奥歯でしか噛んでいないかみ合わせを治したい


【上唇小帯切除術】子どもの頃から上の前歯の歯茎が気になってた!
担当医 河野豊嘉


【セラミッククラウン】他院で治療したセラミッククラウンをやりかえたい


黄ばんだ前歯をきれいに 前歯の審美歯科治療


前に出ている上顎 抜歯矯正で唇を閉じやすく


前歯のデコボコを治したい インビザライン・モデレートによる矯正治療
担当医 藤巻太一朗


目立つ銀歯と露出した歯根 セラミックでの審美歯科治療


【モニター】開咬を治したい インビザラインによる矯正治療


入れ歯を使いたくない 細い骨にインプラントを埋入した補綴治療












