症例・治療例紹介
Cases
最新の症例
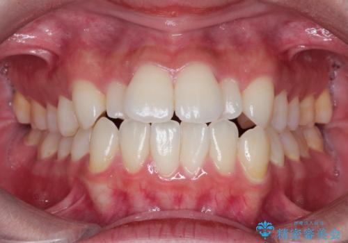
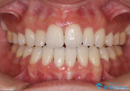
【審美装置】抜歯矯正で口元を改善
担当医 菊地俊介


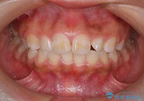
【インビザライン】前歯のがたつきを目立たない装置で治療


【インビザライン】がたつきをマウスピースできれいにしたい


【インビザライン】かみ合わせを整えたい
担当医 菊地俊介


【非抜歯】インビザラインでガタつきと口元を改善!非抜歯でも印象が変わる矯正治療


【抜歯】ワイヤー装置で綺麗な歯並び!口元も劇的変化


【非抜歯】マウスピースでオープンバイトを治す


【インビザライン】すきっぱを治したい


【ワイヤー矯正】口元を歯列矯正で下げたい
担当医 菊地俊介


【ワイヤー矯正】前歯のがたつきを短期間で治したい


【ワイヤー矯正】オープンバイトを治したい


裏側矯正でEラインを改善! すっきりした口元に!








