症例詳細
Case detail
【ワイヤー矯正】口元を歯列矯正で下げたい
治療症例の内容
- 診療科目
- 治療カテゴリ
- 担当医
- 菊地俊介(ドクタープロフィール)
- 患者様
- 20代女性
- 矯正装置
- 審美装置
- 治療期間
- 2年5ヶ月
- 治療回数
- 10-30回
- 治療計画
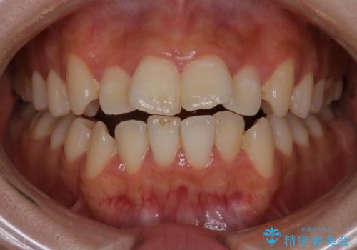
- 口元をさげたいという主訴で来院されました。4番の歯を4本抜歯し、遠心移動とIPRをしました。右上2番が矮小歯のため見た目を重視するならクラウンの提案をしましたが、そのままでの治療を希望されました。
- 費用(概算)
- 93万円費用は治療当時の料金となります
治療について
矯正治療の最終段階でスペースクローズにやや時間がかかりましたが、前歯が下がったことで口元の位置も下がりきれいになりました。
ワイヤー矯正の注意事項(リスク・副作用など)
- 治療中は違和感や痛みが起こることがあります
- 症状により、抜歯が必要な場合があります
- 治療中は歯磨きがしにくくなるため、虫歯や歯周病になりやすくなります
- 矯正治療後の保定が不十分だと後戻り(元の位置に戻ろうとする動き)をします
- 自費診療(保険適用外)となります
当サイトの内容、テキスト、画像等の無断転載、複製、複写、盗用を固く禁じます。















