症例・治療例紹介
Cases
最新の症例
上下のデコボコを治したい インビザラインによる矯正治療


急速拡大装置 狭い歯列を拡大してワイヤー装置で短期間治療


八重歯を無理なくなおしたい ワイヤー装置による非抜歯矯正治療
担当医 藤巻太一朗


デコボコの歯とむし歯 インビザライン矯正治療とむし歯治療


くちばしのように突出した前歯 口元を下げる抜歯矯正


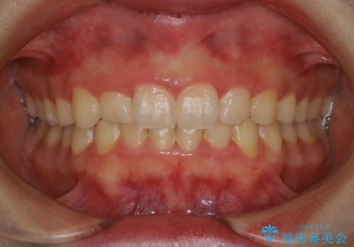
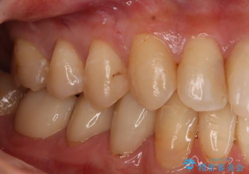
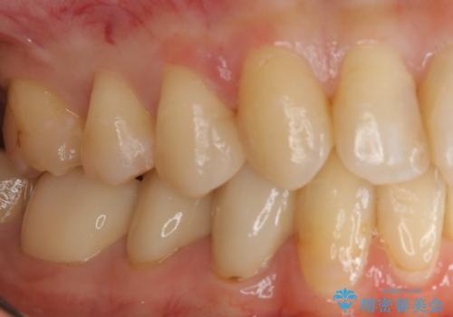
下の前歯が欠けている セラミックで審美的に エアフローで着色除去も


前歯が内側に入っている:インビザライン治療


前歯のねじれと深い噛み合わせの改善:インビザライン治療


前歯のがたつきとディープバイト:インビザライン治療


【非抜歯】上下の前歯が噛み合わないオープンバイトの治療


【非抜歯】前歯を引っ込めたい!マウスピースの限界に挑戦










