症例詳細
Case detail
八重歯を無理なくなおしたい ワイヤー装置による非抜歯矯正治療
治療症例の内容
- 診療科目
- 治療カテゴリ
- 担当医
- 藤巻太一朗(ドクタープロフィール)
- 患者様
- 20代男性
- 矯正装置
- メタルブラケット
- 治療期間
- 1年4ヶ月
- 治療回数
- 10-30回
- 治療計画
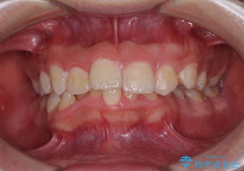
- 前歯のデコボコと右上の八重歯を気にして来院された患者様です。
マウスピース矯正とワイヤー矯正で悩んでいらっしゃいましたが、非常に強い咬合力であることや、お仕事柄不規則な生活リズムになることが多いとのことで、ワイヤー装置にて矯正治療を行うこととしました。
口元が突出する仕上がりとならないように、舌突出癖改善のトレーニングをしっかりと行っていただきながら、矯正治療を進めていくこととしました。
- 費用(概算)
- 治療費の目安: 80万円(税込)費用は治療当時の料金となります
治療について
1年強でワイヤー装置を外すことができ、思ったよりも短期間で終了したため、患者様には大変喜んでいただきました。
ワイヤー矯正の注意事項(リスク・副作用など)
- 治療中は違和感や痛みが起こることがあります
- 症状により、抜歯が必要な場合があります
- 治療中は歯磨きがしにくくなるため、虫歯や歯周病になりやすくなります
- 矯正治療後の保定が不十分だと後戻り(元の位置に戻ろうとする動き)をします
- 自費診療(保険適用外)となります
当サイトの内容、テキスト、画像等の無断転載、複製、複写、盗用を固く禁じます。


























