症例・治療例紹介
Cases
最新の症例
【インビザライン】下前歯だけを治したい


【クリア装置】前歯のがたつきが気になる


奥歯でしっかり噛める、インプラント治療


歯が欠けてしまった。オールセラミッククラウンによる補綴治療
担当医 齋藤佑磨


低予算・短期間での歯並び改善:インビザライン治療


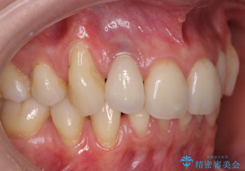
【オールセラミッククラウン】銀歯の下が虫歯に!
担当医 河野豊嘉


全体的なデコボコが気になる。拡大装置を併用したワイヤー矯正


[ 社会人の矯正治療 ] 仕事をしながらでも治療しやすい、マウスピース矯正
担当医 大元洋佑
![[ 社会人の矯正治療 ] 仕事をしながらでも治療しやすい、マウスピース矯正の症例 治療前](https://seimitsushinbi.jp/wp/wp-content/uploads/2025/02/IMG_3012-500x350.jpg?v=1740124592)
![[ 社会人の矯正治療 ] 仕事をしながらでも治療しやすい、マウスピース矯正の症例 治療後](https://seimitsushinbi.jp/wp/wp-content/uploads/2025/02/d62ebcf4699c90efb9ffd5ed659b7480-500x350.jpg?v=1740124568)
前歯の色が気になる。オールセラミッククラウンでのやり替え
担当医 岡田康成


前歯の形と変色が気になる。 ジルコニアクラウンでの修復処置
担当医 岡田康成


左下の親知らずが腫れた感じがする。
担当医 青山卓弘


歯周病治療とエアーフロー








