症例・治療例紹介
Cases
最新の症例
欠損を放置した奥歯 即時荷重インプラントですぐに噛めるように


【モニター】デコボコ前歯をワイヤー装置での抜歯矯正で改善
担当医 藤巻太一朗


メンテナンスで10年後のセラミック


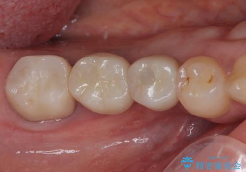
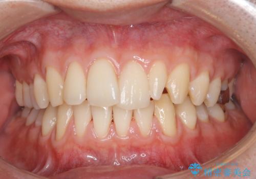
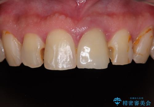
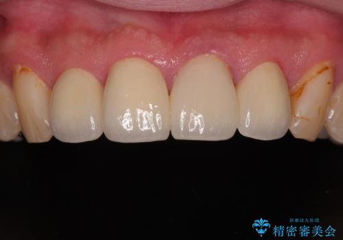
歯冠長延長術・骨隆起除去を行った、スペースの少ないセラミック治療
担当医 大元洋佑


イベント前にエアフローで口元を綺麗に
担当医 歯科衛生士


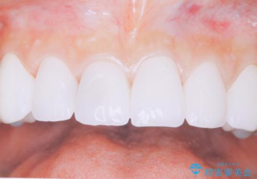
前歯の見た目を良くしたい オールセラミッククラウン
担当医 有澤哲郎


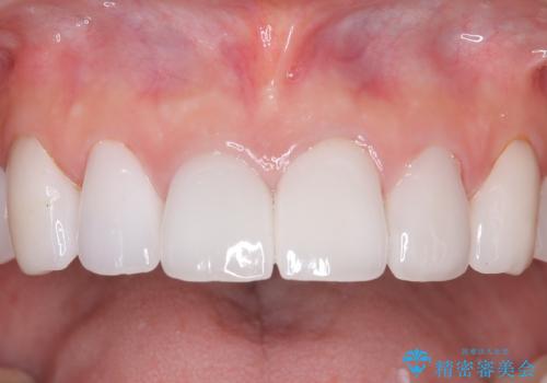
前歯を綺麗にしたい オールセラミッククラウン
担当医 小澤俊哉


ワイヤー矯正中のクリーニング(エアフロー使用)
担当医 歯科衛生士


【インビザライン】歯の本数少ないのにがたつきがある セラミックインレー


【インビザラインモニター】前歯のがたつき気になる


銀歯をゼロに! 短期間で行うメタルフリー治療


セラミックの被せ物を入れたい フルジルコニアクラウン
担当医 小澤俊哉


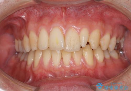
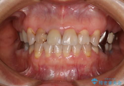
がちゃがちゃした前歯をきれいにしたい


前歯のがたつき 保険治療の前歯の被せ物もやりかえたい




