症例・治療例紹介
Cases
最新の症例
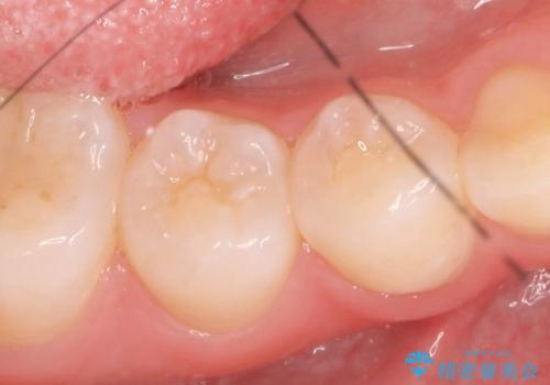
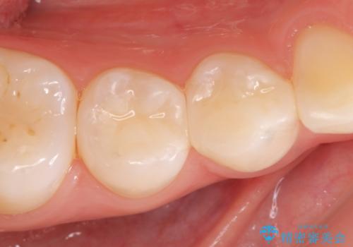
不適合なクラウンのやりかえ
担当医 大元洋佑


前歯の変色 根管治療と高品質セラミック歯科治療


セラミックインレー しみる歯の審美的治療


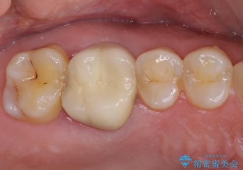
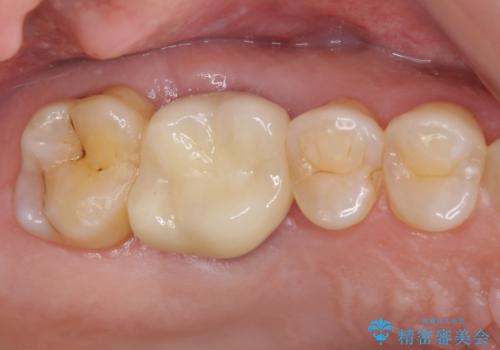
抜歯になった虫歯 奥歯のインプラント治療


金属を全てセラミックに メタルフリー治療


捻れた出っ歯の前歯 オールセラミッククラウンによる審美治療


歯周外科処置を併用した奥歯の補綴治療


セラミッククラウンによる奥歯のむし歯治療


口が閉じられない 抜歯矯正で口元をスッキリと


海外勤務中でも矯正治療 インビザラインによる軽度叢生改善
担当医 藤巻太一朗


話しにくいオープンバイト インビザラインによる矯正治療
担当医 藤巻太一朗


矯正治療の後戻り インビザラインによる再矯正治療
担当医 藤巻太一朗


ディープバイトと前歯のデコボコを治したい インビザラインによる矯正治療






