症例・治療例紹介
Cases
最新の症例
前歯の後戻りを部分矯正で整った歯並びへ


抜歯時歯槽堤保存術を用いた骨造成・インプラント治療


インプラントを用いた歯周病全顎治療
担当医 大元洋佑


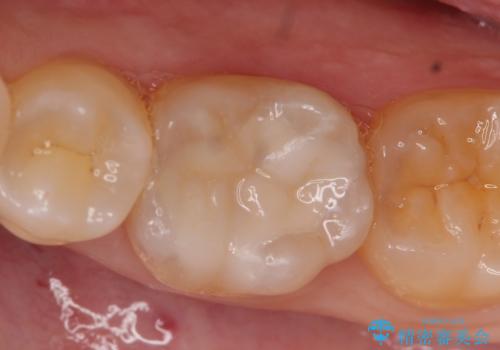
セラミックインレー しみる奥歯の治療


オールセラミッククラウン 咬むと痛む奥歯の治療


度重なる治療で前歯がしみる オールセラミッククラウンによる補綴治療


前歯のデコボコを治したい 費用を抑えた抜歯矯正


折れてしまった前歯 インプラントによる補綴治療


前歯のクロスバイトをインビザライン矯正で改善
担当医 藤巻太一朗


前歯をきれいに整えたい ワイヤー装置での非抜歯矯正
担当医 藤巻太一朗


気になる八重歯を治したい ワイヤー装置での抜歯矯正


前歯のデコボコと突出感 インビザラインで改善


治療途中で放置していた歯 オールセラミッククラウンによる補綴治療


前歯の隙間を閉じたい ラミネートベニアによる審美歯科治療




