症例・治療例紹介
Cases
最新の症例
ワイヤー矯正中のクリーニング PMTC
担当医 歯科衛生士


下の歯の黄ばみ
担当医 歯科衛生士


定期検診にて膿の出口を見つけた。精密根管治療
担当医 河口智英


昨晩から激痛。精密根管治療
担当医 河口智英


精密根管治療。大臼歯イニシャルケース
担当医 河口智英


奥歯が痛い。精密根管治療
担当医 河口智英


前歯のがたつき・すれちがい咬合を非抜歯で。流行の、格安マウスピースでは難しい、ワンランク上の治療


タバコ、コーヒーなどの着色を、PMTCできれいに。
担当医 歯科衛生士


どうしても抜歯したくない 歯根分割術・骨外科手術で歯を残す 50代女性


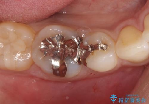
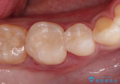
[セラミック治療] 溶けて形の悪くなった歯を改善したい
担当医 大元洋佑
![[セラミック治療] 溶けて形の悪くなった歯を改善したいの症例 治療前](https://seimitsushinbi.jp/wp/wp-content/uploads/2020/09/6cba5cdbb644ada1d83d531daea06619-500x350.jpg?v=1601116119)
![[セラミック治療] 溶けて形の悪くなった歯を改善したいの症例 治療後](https://seimitsushinbi.jp/wp/wp-content/uploads/2020/09/8399b15d8f2af6801ec280f19e25456a-500x350.jpg?v=1601116140)
深い虫歯 歯周外科を併用した精度の高い補綴治療


保存不可能な歯を抜歯してインプラント治療







![[ インビザライン ライト ] 下がってしまった歯ぐきを元に戻したいの症例 治療前](https://seimitsushinbi.jp/wp/wp-content/uploads/2020/09/b5191260ea05ed8973dcf6c0c5a49744-500x350.jpg?v=1601114177)
![[ インビザライン ライト ] 下がってしまった歯ぐきを元に戻したいの症例 治療後](https://seimitsushinbi.jp/wp/wp-content/uploads/2020/09/4adab4bde57417c1a783f29608a9fe85-500x350.jpg?v=1601114307)