症例詳細
Case detail
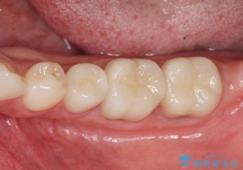
深い虫歯 歯周外科を併用した精度の高い補綴治療
治療症例の内容
- 患者様
- 20代女性
- 治療期間
- 8ヶ月
- 治療回数
- 5-10回
- 治療計画
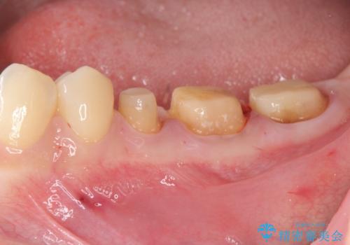
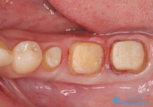
- 治療途中で放置してしまった歯の治療の再開を希望され来院されました。
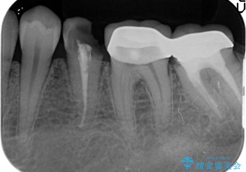
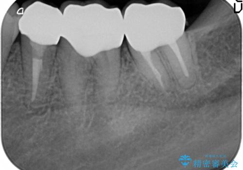
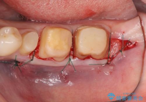
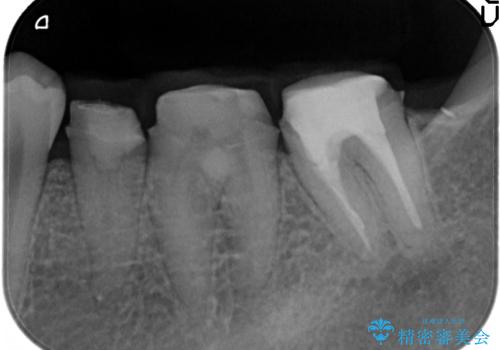
虫歯を除去すると、歯ぐきよりも深い虫歯であることが判明したため歯周外科を行い問題を解決していきます。
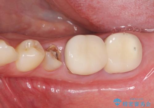
- 費用(概算)
- 45万円(仮歯・ファイバーコア・ジルコニアクラウン×3 歯周外科手術)費用は治療当時の料金となります
深い虫歯の治療について
歯ぐきの炎症は虫歯や歯周病の再発原因となるため歯周外科による解決が望ましいです。
外科処置の注意事項(リスク・副作用など)
- 外科手術のため、術後に出血、痛みや腫れ、違和感を伴います
- 口腔内の状態によっては適応できないことがあります
セラミック治療の注意事項(リスク・副作用など)
- 天然歯を削ります
- 硬い素材は天然歯を傷つけてしまう場合があります
- かみ合わせや歯ぎしりが強すぎる方はセラミックが割れてしまう可能性があります
- 自費診療(保険適用外治療)となります
当サイトの内容、テキスト、画像等の無断転載、複製、複写、盗用を固く禁じます。













