症例・治療例紹介
Cases
最新の症例
PMTCでスムーズにデンタルフロスが通るように
担当医 歯科衛生士


インプラント治療途中にPMTC
担当医 歯科衛生士


1年ぶりのPMTC
担当医 歯科衛生士


染め出しをして磨き残しのチェックと歯のクリーニング
担当医 歯科衛生士


ワインによる着色をPMTCでキレイに
担当医 歯科衛生士


口臭予防のため歯科医院での歯の掃除 PMTC
担当医 歯科衛生士


ワイヤー矯正中のPMTC
担当医 歯科衛生士


歯が前に出てて、口が閉じない 抜歯矯正による口元の改善


アタッチメント周囲のステインOFFをPMTC で
担当医 歯科衛生士


1年ぶりのPMTCでオーラルケア
担当医 歯科衛生士


着色・ステイン除去をPMTCで
担当医 歯科衛生士


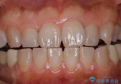
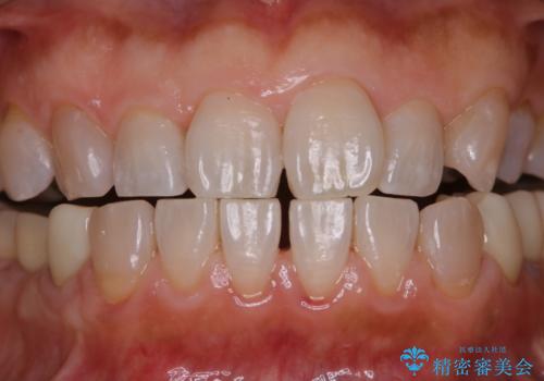
[前歯 セラミック治療] すぐに前歯が取れる きちんと治療して欲しい
![[前歯 セラミック治療] すぐに前歯が取れる きちんと治療して欲しいの症例 治療前](https://seimitsushinbi.jp/wp/wp-content/uploads/2021/01/9e6ce61e0bdd79ba9b3792484754c3e3-500x350.jpg?v=1609914925)
![[前歯 セラミック治療] すぐに前歯が取れる きちんと治療して欲しいの症例 治療後](https://seimitsushinbi.jp/wp/wp-content/uploads/2021/01/1c3b62c3a0de497eade34ec62d821d52-500x350.jpg?v=1609914963)
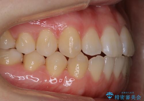
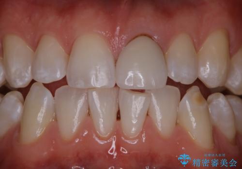
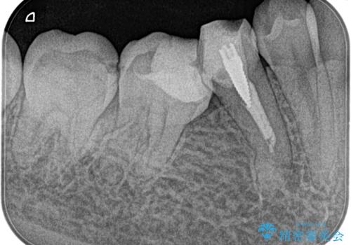
[根管治療・セラミッククラウン] 他院で抜くしかないと言われた歯の治療
![[根管治療・セラミッククラウン] 他院で抜くしかないと言われた歯の治療の症例 治療前](https://seimitsushinbi.jp/wp/wp-content/uploads/2021/01/91d1d4b8e73e8b08ee1f1a8d4bfa764d-500x350.jpg?v=1609913634)
![[根管治療・セラミッククラウン] 他院で抜くしかないと言われた歯の治療の症例 治療後](https://seimitsushinbi.jp/wp/wp-content/uploads/2021/01/08b00294d18b426c4a403cba0a149a80-500x350.jpg?v=1609913645)
[歯の変色] 根管治療 セラミッククラウンの製作
![[歯の変色] 根管治療 セラミッククラウンの製作の症例 治療前](https://seimitsushinbi.jp/wp/wp-content/uploads/2021/01/9177acacd4965ad7e3a90a0e564ac25b-500x350.jpg?v=1609913081)
![[歯の変色] 根管治療 セラミッククラウンの製作の症例 治療後](https://seimitsushinbi.jp/wp/wp-content/uploads/2021/01/a5834923f48045d87e7ab38b53fa83a2-500x350.jpg?v=1609913111)
【湾曲根管】奥歯がズキズキ痛い
担当医 河口智英


