症例・治療例紹介
Cases
最新の症例
ホワイトニング予定の方のPMTC まずはステイン除去
担当医 歯科衛生士


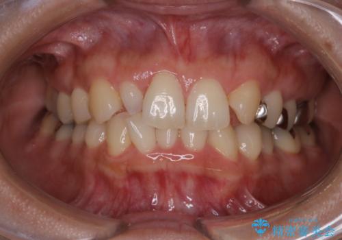
笑った時に目立つ銀歯を白くしたい
担当医 大元洋佑


すきっ歯・出っ歯 コンプレックスの前歯を治したい 目立たない方法で セラミック治療は不可能な症例
担当医 井上季実子


笑うとキラリと光る銀歯を何とかしたい:適合の良いセラミックで長持ちする歯に


矯正治療終了後のメンテナンス PMTCで着色落とし
担当医 歯科衛生士


矯正治療を始める前に歯磨き指導とPMTC
担当医 歯科衛生士


PMTCでツルツルの歯に
担当医 歯科衛生士


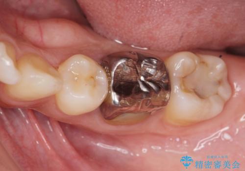
銀歯が外れてしまった ゴールドインレーによる補綴治療


口元が出てるのが気になる 抜歯矯正でしっかりと前歯をさげてすっきりした口元へ


矯正中のクリーニング・ステイン除去
担当医 歯科衛生士


インプラントは嫌 親知らずの移植 50代女性










