症例・治療例紹介
Cases
最新の症例
歯ぐきの腫れを改善する歯周外科手術を伴うセラミック治療


咬み合わせが気になる ワイヤー矯正による咬み合わせ改善と奥歯のセラミック治療


笑った時に見える金属を白くしたい
担当医 河口智英


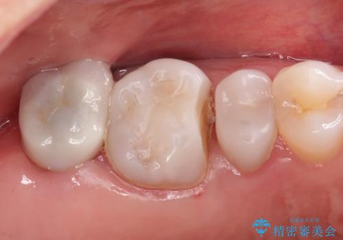
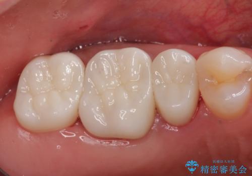
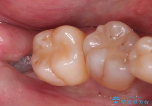
金属の詰め物がはずれた。


保険で治療した歯が欠けた。オールセラミッククラウンによる修復
担当医 河口智英


前歯の色と隙間が気になる 早く治したい 矯正は嫌 30代女性


古い被せ物をセラミックにしたい 40代男性


親知らずの移植 4年半経過症例 70代女性


セラミックによる前歯の変色の改善


矮小歯を綺麗な歯に。矯正とセラミックの総合治療


インビザライン矯正治療とインプラント治療 同時並行での全体治療


出っ歯が気になる インビザラインによる出っ歯の目立たない矯正


目立つ銀歯を白くしたい 奥歯のセラミック治療






