症例・治療例紹介
Cases
最新の症例
八重歯のワイヤーによる抜歯矯正 矯正治療と並行してセラミック治療も


再矯正症例 前歯のガタガタと噛み合わせのズレをマウスピースで治した症例


長い間コンプレックスだった前歯のすき間! 短期間終了。部分矯正症例 (インビザライン矯正)


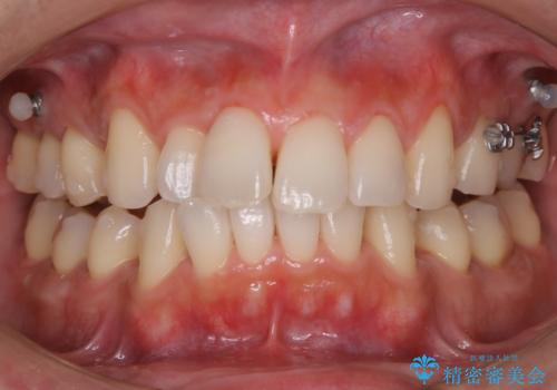
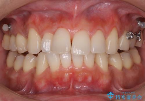
他院で治療しているが痛みが治らない 根管治療とセラミック補綴治療


矯正中のクリーニング(PMTC)
担当医 歯科衛生士


2ヶ月に1回ペースでクリーニング(PMTC)
担当医 歯科衛生士


歯の着色をPMTC(医院で行うプロフェッショナルクリーニング)で除去!
担当医 歯科衛生士


ワイヤー矯正で楽して治療 前歯のデコボコを短期間で改善


インビザラインで奥歯の咬み合わせと前歯のデコボコを改善














