症例・治療例紹介
Cases
最新の症例
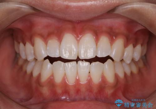
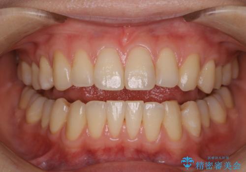
出っ歯で口が閉じずらい ワイヤー抜歯矯正


[ オールセラミッククラウン ] 前歯を自然な差し歯にしたい
![[ オールセラミッククラウン ] 前歯を自然な差し歯にしたいの症例 治療前](https://seimitsushinbi.jp/wp/wp-content/uploads/2022/07/3c5a785637ddccbb5d7fcd0b4a151157-500x350.jpg?v=1657095795)
![[ オールセラミッククラウン ] 前歯を自然な差し歯にしたいの症例 治療後](https://seimitsushinbi.jp/wp/wp-content/uploads/2022/07/f908365bae813c6881b43ba51882c130-1-500x350.jpg?v=1657095942)
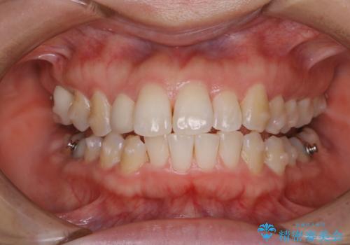
銀歯や古くなったクラウンをやりかえたい


[ 前歯のセラミック治療 ] 短期間で歯並びを治したい
担当医 大元洋佑
![[ 前歯のセラミック治療 ] 短期間で歯並びを治したいの症例 治療前](https://seimitsushinbi.jp/wp/wp-content/uploads/2022/07/68f8dbc76371dd3ce89027a3fa5c08e4-500x350.jpg?v=1657077061)
![[ 前歯のセラミック治療 ] 短期間で歯並びを治したいの症例 治療後](https://seimitsushinbi.jp/wp/wp-content/uploads/2022/07/651788be749c2e6e13f4a14213242ca5-500x350.jpg?v=1657077103)
前歯で噛めない:オープンバイト(開咬)を非抜歯インビザラインで治療


半年ぶりのクリーニング(インビザラインの矯正中)
担当医 歯科衛生士


オフィスホワイトニングのエクセレントコース
担当医 歯科衛生士


3ヶ月メンテナンス時に一緒にPMTCも行えます!
担当医 歯科衛生士


インビザラインをつけたままお茶やコーヒーを飲んで着色
担当医 歯科衛生士


他院で仮歯までしたが、放置していたためセラミック入れたい セラミック治療
担当医 菊地俊介












