症例・治療例紹介
Cases
最新の症例
コーヒーを多く飲むインビザライン矯正中の患者様のクリーニング
担当医 歯科衛生士


ワイヤー矯正中のクリーニング
担当医 歯科衛生士


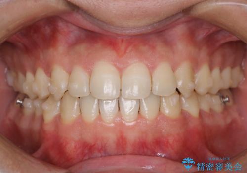
[ インプラントによる機能回復 ] 強い咬合力 放置した虫歯の治療
![[ インプラントによる機能回復 ] 強い咬合力 放置した虫歯の治療の症例 治療前](https://seimitsushinbi.jp/wp/wp-content/uploads/2022/07/dbc5e5b52dd96aeab54aa69e57a96bd1-500x350.jpg?v=1658988380)
![[ インプラントによる機能回復 ] 強い咬合力 放置した虫歯の治療の症例 治療後](https://seimitsushinbi.jp/wp/wp-content/uploads/2022/07/5634e865a3957c7dade18cdc7bf6b192-500x350.jpg?v=1658988421)
【モニター】八重歯とデコボコをスッキリきれいに ワイヤー装置での抜歯矯正


ディープバイトをインビザライン矯正で改善


唇を閉じやすく 出っ歯の抜歯矯正
担当医 藤巻太一朗


反対咬合や欠損を治療したい インビザライン矯正とオールセラミックブリッジ


前歯のインプラント治療 折角なので矯正治療できれいな歯並びに


八重歯を抜歯矯正でスッキリと メタルブラケットでの矯正治療
担当医 藤巻太一朗


極端な上下前歯の開咬を改善 オープンバイトのインビザライン矯正


前歯のクロスバイト ワイヤー装置を併用したインビザライン矯正
担当医 藤巻太一朗


歯が欠けてしみる オールセラミッククラウンによる虫歯治療


八重歯と開咬を治したい 目立たないハーフリンガル矯正






