症例・治療例紹介
Cases
最新の症例
飛び出した前歯とデコボコ ワイヤー装置での抜歯矯正
担当医 藤巻太一朗


強い咬合力で奥歯がボロボロに インプラント治療による咬合回復と全顎セラミック治療


奥歯のむし歯が気になる 根管治療とインプラント治療


インビザラインは煩わしい ワイヤー矯正で短期間矯正治療


ぐらぐらする奥歯 短期間インプラント治療
担当医 藤巻太一朗


奥歯の大きなむし歯 神経を残してセラミック治療


歯周ポケットの除去を併用したセラミック治療


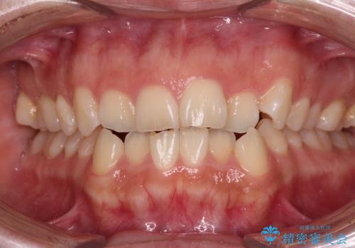
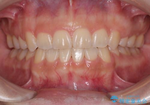
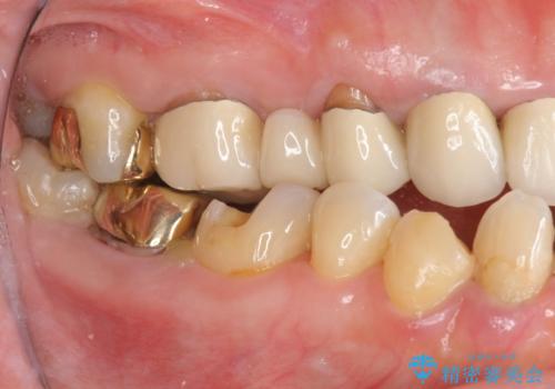
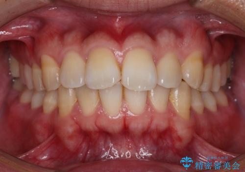
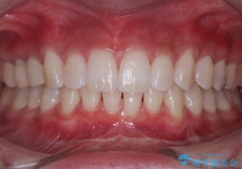
[ 矯正治療 ] 噛み合わせ前歯の見た目をきれいにしたい
![[ 矯正治療 ] 噛み合わせ前歯の見た目をきれいにしたいの症例 治療前](https://seimitsushinbi.jp/wp/wp-content/uploads/2025/08/IMG_7266-500x350.jpg?v=1754654745)
![[ 矯正治療 ] 噛み合わせ前歯の見た目をきれいにしたいの症例 治療後](https://seimitsushinbi.jp/wp/wp-content/uploads/2025/08/IMG_3482-500x350.jpg?v=1754654765)
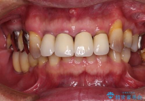
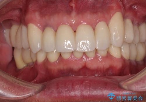
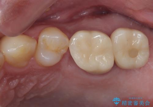
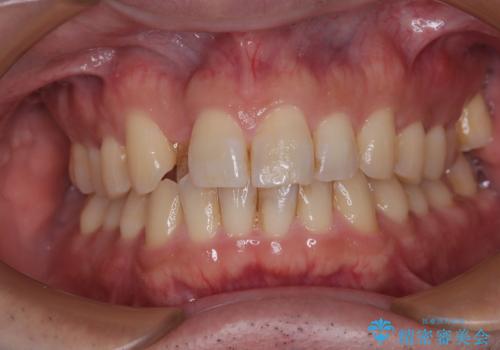
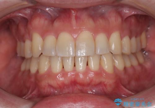
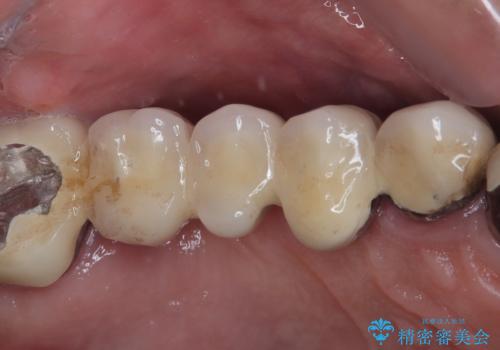
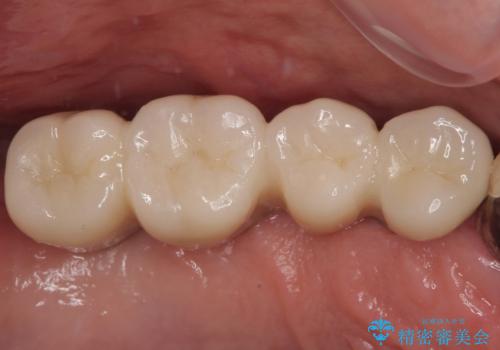
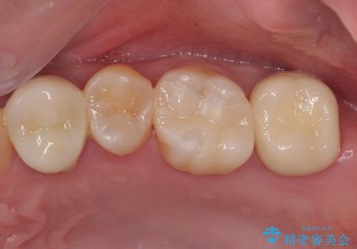
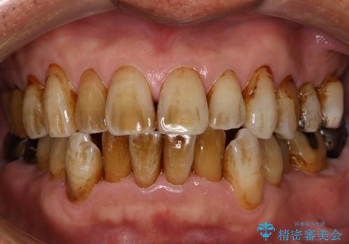
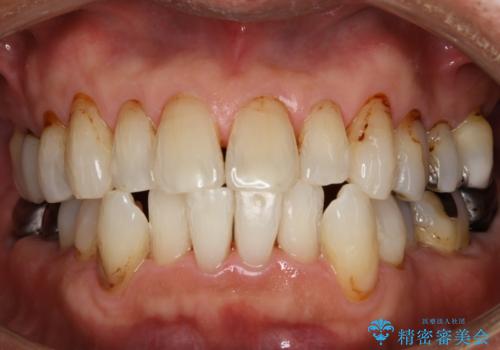
[ 虫歯・歯周病・インプラント ] 全顎補綴治療
![[ 虫歯・歯周病・インプラント ] 全顎補綴治療の症例 治療前](https://seimitsushinbi.jp/wp/wp-content/uploads/2025/08/70fb1789aa801a8616f6634871c40673-500x350.jpg?v=1754470286)
![[ 虫歯・歯周病・インプラント ] 全顎補綴治療の症例 治療後](https://seimitsushinbi.jp/wp/wp-content/uploads/2025/08/382c499e19e22dcf6f8af5ed1cea2d03-500x350.jpg?v=1754470273)
【インビザライン】目立たない矯正で前歯を綺麗に


衝撃的なビフォーアフター!見違えるほど白い歯に!
担当医 歯科衛生士


挺出歯を圧下してスペースを確保!目立たない部分矯正で下顎大臼歯にインプラント治療を実現



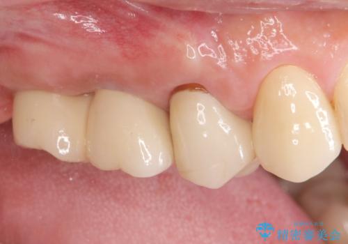
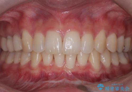
![[ 前歯セラミックブリッジ治療 ] 転んで抜けた前歯 、見た目をきれいにしたいの症例 治療前](https://seimitsushinbi.jp/wp/wp-content/uploads/2025/08/28fef3c770d35b8dd5601e49cf91d277-500x350.jpg?v=1754653810)
![[ 前歯セラミックブリッジ治療 ] 転んで抜けた前歯 、見た目をきれいにしたいの症例 治療後](https://seimitsushinbi.jp/wp/wp-content/uploads/2025/08/e4a43a295bdd9cd1bfac22ee1f66335c-500x350.jpg?v=1754653866)



