症例・治療例紹介
Cases
最新の症例
マウスピースをしたままコーヒーを飲むと着色がすごい
担当医 歯科衛生士


インビザライン中とインビザライン後のbefore、afterのクリーニング
担当医 歯科衛生士


着色落としはPMTCを
担当医 歯科衛生士


インビザラインのマウスピース発注待ち時、クリーニングおすすめ
担当医 歯科衛生士


大きい虫歯で欠けた前歯 セラミッククラウンで治療
担当医 岡田康成


虫歯のチェックはクリーニングをしてから(PMTC)
担当医 歯科衛生士


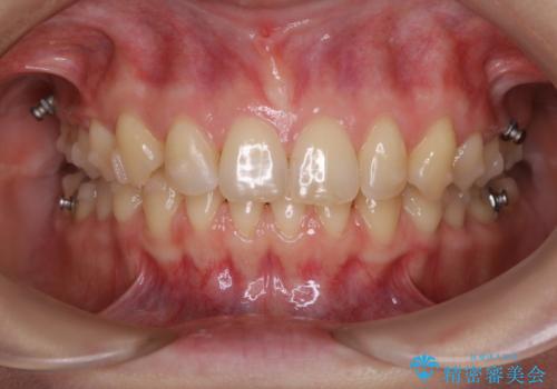
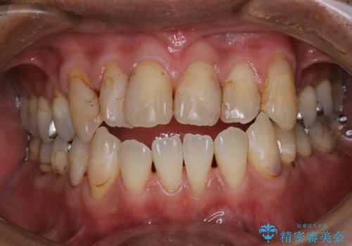
部分矯正を併用した奥歯のインプラント治療


前歯のデコボコを治したい インビザライン矯正治療
担当医 藤巻太一朗


すきっ歯とオープンバイト インビザライン・ライトで改善


外側に飛び出した歯 インビザラインによる矯正治療
担当医 藤巻太一朗


八重歯とクロスバイト 目立たないワイヤー装置での抜歯矯正


インビザラインでのんびりと矯正治療
担当医 藤巻太一朗








