症例詳細
Case detail
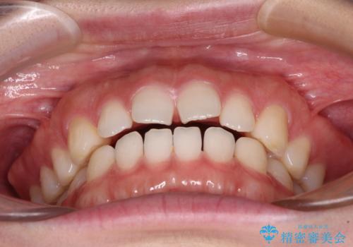
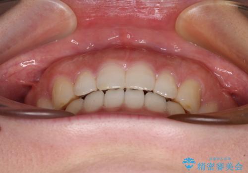
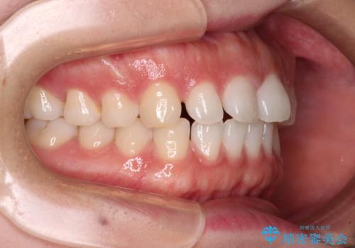
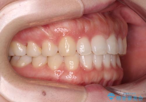
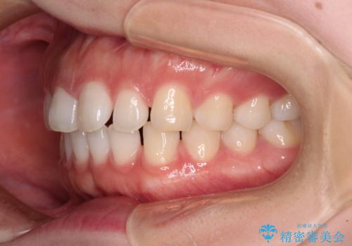
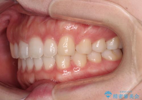
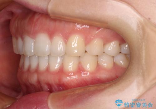
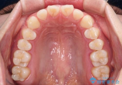
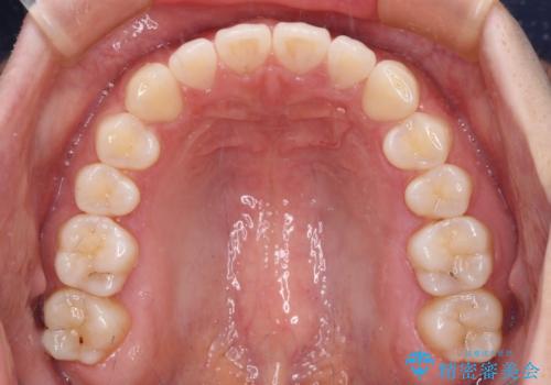
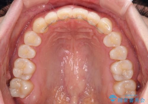
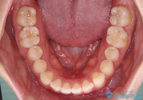
すきっ歯とオープンバイト インビザライン・ライトで改善
治療症例の内容
- 診療科目
- 担当医
- 藤巻太一朗(ドクタープロフィール)
- 患者様
- 20代女性
- 矯正装置
- インビザライン・ライト
- 治療期間
- 9ヶ月
- 治療回数
- 5-10回
- 治療計画
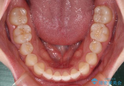
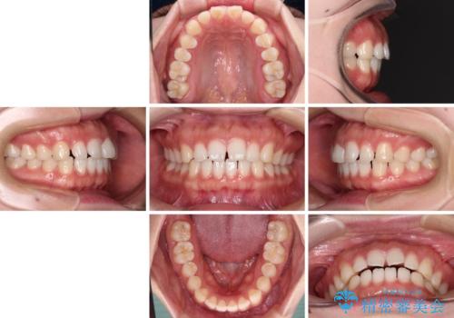
- 食いしばりによる顎の負担を気にして来院された患者様です。
当初は、ボツリヌス毒素による咬筋の過緊張の緩和と、睡眠時のマウスピース装着による咬合負担の解消を行いました。
オープンバイトのため、奥歯に負担のかかる咬合状態であったので、矯正治療を提案したところ、希望をされました。
すきっ歯程度の軽度の歯列不正であったため、インビザライン・ライトにより咬合改善を行うこととしました。
- 費用(概算)
- 治療費の目安: 50万円(税込)費用は治療当時の料金となります
治療について
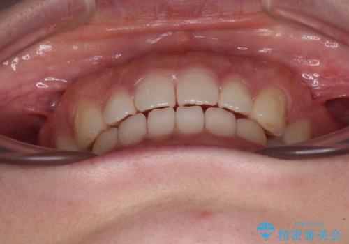
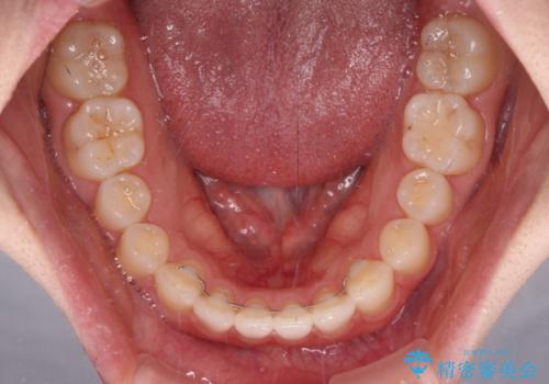
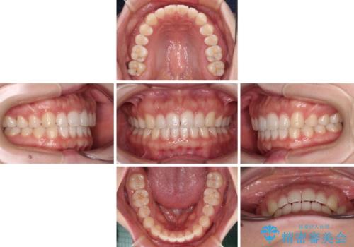
オープンバイトやすきっ歯は、舌突出癖によりあっという間に後戻りをするため、矯正治療前からトレーニングを行っていただき、更には後戻り防止のワイヤーリテーナーを併用しています。
マウスピース矯正の注意事項(リスク・副作用など)
- 口腔内・歯並びの状態によっては対応できない場合があります
- マウスピース型矯正装置の長時間装着(1日20時間以上)が必須です
- 治療計画通りに進めるためには、患者様の意志が重要になります
- 矯正治療後の保定が不十分だと後戻り(元の位置に戻ろうとする動き)をします
- 薬機法対象外の矯正歯科装置のため医薬品副作用被害救済制度の対象外となる場合があります
- 自費診療(保険適用外)となります
当サイトの内容、テキスト、画像等の無断転載、複製、複写、盗用を固く禁じます。



























