症例詳細
Case detail
放置した虫歯 奥歯のオールセラミックブリッジ治療
治療症例の内容
- 診療科目
- 治療カテゴリ
- 担当医
- 藤巻太一朗(ドクタープロフィール)
- 患者様
- 20代男性
- 治療期間
- 4ヶ月
- 治療回数
- 2-5回
- 治療計画
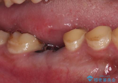
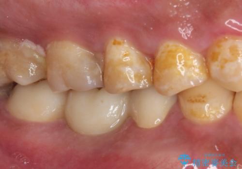
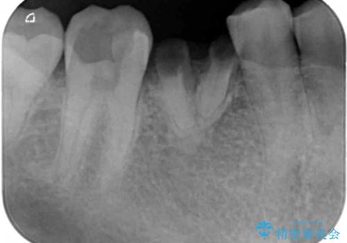
- 奥歯が痛く、放置した虫歯があるとのことで来院された患者様です。
全体的に汚れが多く、歯の表面の脱灰が全体的に認められましたが、まずは奥歯の虫歯治療から行うこととしました。
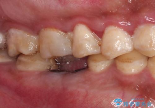
根っこだけとなっている歯は抜歯をし、奥の大きな虫歯となっている歯は、神経を取り除く可能性を考慮しながら処置を進めて行くこととしました。
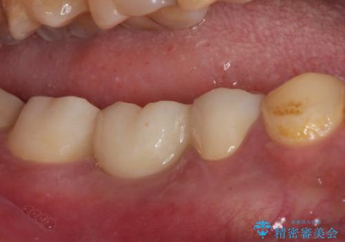
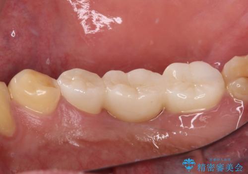
抜歯部分の治癒を待つ間に、全体的な汚れの多さを改善する指導と処置を進め、その後オールセラミックブリッジにて補綴治療を行うこととしました。
- 費用(概算)
- 治療費の目安: 26万円(税込)費用は治療当時の料金となります
治療について
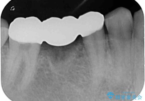
神経を取り除く可能性のあった奥歯ですが、何とか保存することができました。
奥歯はしっかりと治療することができたので、今後は虫歯予防と他の要治療歯の処置を行っていくことになります。
セラミック治療の注意事項(リスク・副作用など)
- 天然歯を削ります
- 硬い素材は天然歯を傷つけてしまう場合があります
- かみ合わせや歯ぎしりが強すぎる方はセラミックが割れてしまう可能性があります
- 自費診療(保険適用外治療)となります
当サイトの内容、テキスト、画像等の無断転載、複製、複写、盗用を固く禁じます。










