症例・治療例紹介
Cases
最新の症例
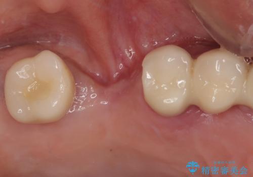
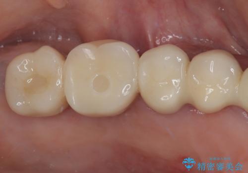
抜けてしまった奥歯 短期間インプラント治療


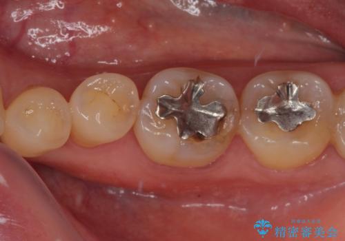
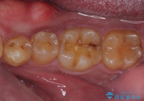
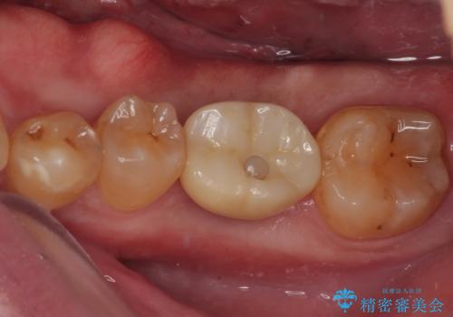
違和感が続く奥歯 慎重な診断を行ったむし歯治療


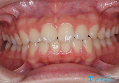
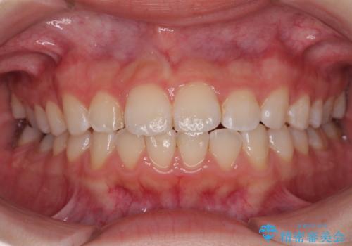
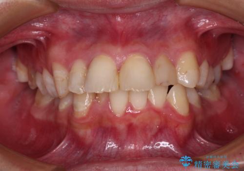
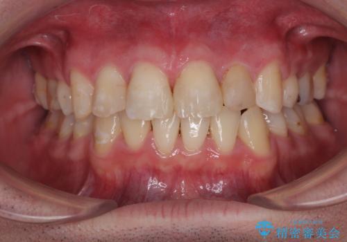
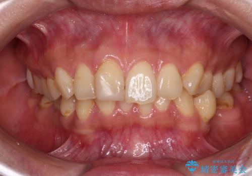
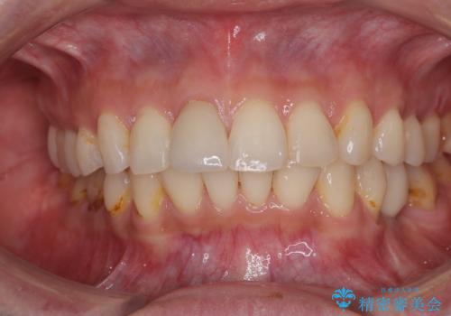
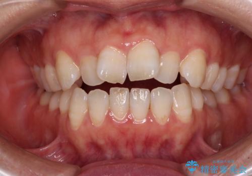
気になる前歯を矯正 短期間のワイヤー矯正治療
担当医 藤巻太一朗


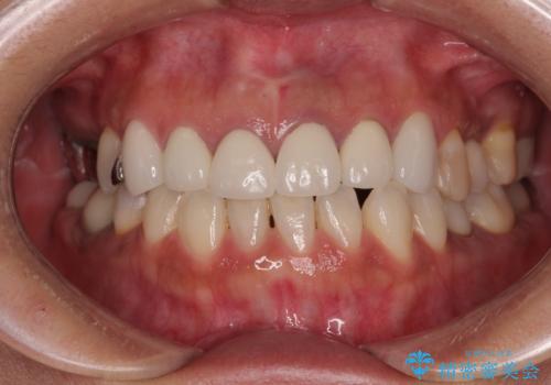
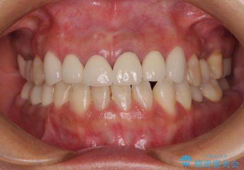
新幹線通院 地元で断られた奥歯のむし歯治療


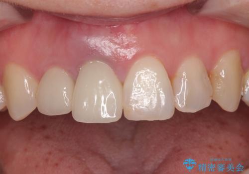
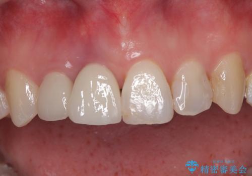
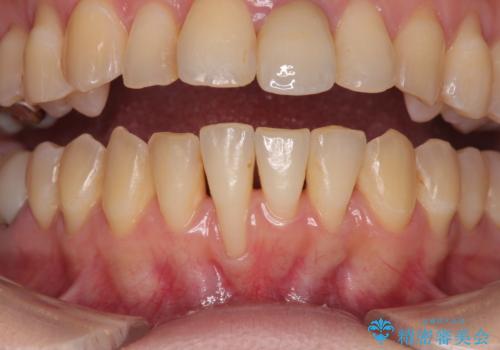
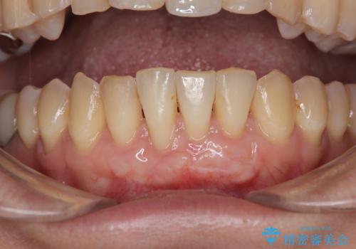
矯正治療で退縮した歯肉 歯肉移植による根面被覆術
担当医 藤巻太一朗


破折した前歯のインプラント 1DAYインプラントで短期間治療


矯正治療で退縮した歯肉 歯肉移植術で露出した歯根を覆い隠す
担当医 藤巻太一朗


【モニター】出っ歯と奥歯の咬み合わせを改善 補助装置を用いたワイヤー抜歯矯正


デコボコと乳歯の欠損 ワイヤー矯正とインプラント補綴治療


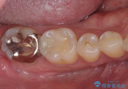
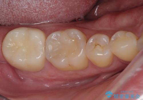
銀歯の周りがむし歯に ゴールドインレーによるむし歯治療
担当医 藤巻太一朗


痛くて噛めない オールセラミッククラウンでのむし歯治療


矯正治療の後戻り インビザラインで短期間矯正治療
担当医 藤巻太一朗


咬合力で破折した奥歯 抜歯即時埋入インプラントによる補綴治療






