症例・治療例紹介
Cases
最新の症例
前歯のクロスバイトを治したい ワイヤー装置による矯正治療


インビザラインが続けられない 装置変更して抜歯矯正


前歯のクロスバイト インビザラインによる矯正治療


欠損した前歯とディープバイト ワイヤー矯正で短期間で治療


歯のがたつき 4本抜歯を回避してマウスピース矯正へ


歯が欠けて染みる
担当医 青山卓弘


【インプラント】歯が無いので入れて欲しい!


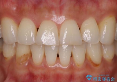
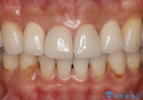
【オールセラミッククラウン】被せ物の色が気になる!
担当医 河野豊嘉


下の前歯のがたつき インビザラインで


前歯のデコボコを費用を抑えたメタルブラケットできれいに
担当医 藤巻太一朗


前歯の形気になる セラミッククラウン(SP)
担当医 菊地俊介


歯の形気になる!! セラミック治療 前歯( エクセレント)
担当医 菊地俊介


[ 出っ歯を治したい ] マイクロインプラントを用いた大きな後方移動
![[ 出っ歯を治したい ] マイクロインプラントを用いた大きな後方移動の症例 治療前](https://seimitsushinbi.jp/wp/wp-content/uploads/2023/09/C14.1-500x350.jpg?v=1695117911)
![[ 出っ歯を治したい ] マイクロインプラントを用いた大きな後方移動の症例 治療後](https://seimitsushinbi.jp/wp/wp-content/uploads/2023/09/3ec5b2f9fcf843c864da508dfde7424c-500x350.jpg?v=1695117775)




