症例・治療例紹介
Cases
最新の症例
根元がうずく前歯 根管治療とオールセラミック治療


唇が閉じにくい ワイヤー装置での抜歯矯正


外科手術が必要と言えるほど突出した前歯 長期間をかけた抜歯矯正


八重歯と開咬の抜歯矯正 ワイヤー装置を併用したインビザライン矯正治療


しゃくれて口が閉じられない ワイヤー装置での抜歯矯正


【モニター】出っ歯と八重歯 抜歯矯正でスッキリとした口元に


治療途中で帰国 装置をつけた状態を継続して矯正治療


ねじれた前歯を改善するマウスピース矯正


奥歯の欠損部 インプラント補綴治療


壊れやすいブリッジ インプラント治療で安定した咬み合わせに


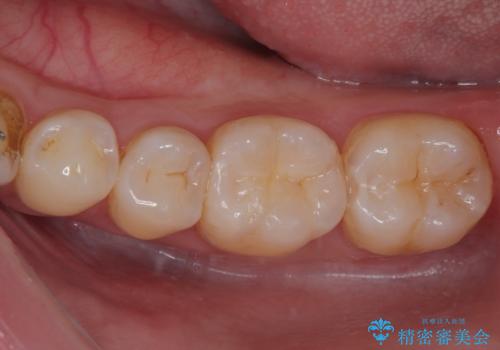
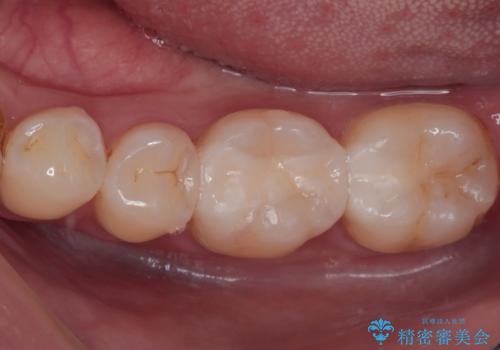
[歯と歯の間の虫歯] ジルコニアクラウン
担当医 青山卓弘
![[歯と歯の間の虫歯] ジルコニアクラウンの症例 治療前](https://seimitsushinbi.jp/wp/wp-content/uploads/2024/01/IMG_9978-1-500x350.jpg?v=1704531666)
![[歯と歯の間の虫歯] ジルコニアクラウンの症例 治療後](https://seimitsushinbi.jp/wp/wp-content/uploads/2024/01/IMG_0071-500x350.jpg?v=1704530726)







![[ 咬頭対咬頭 ] 不安定な噛み合わせの治療の症例 治療前](https://seimitsushinbi.jp/wp/wp-content/uploads/2024/01/IMG_9862-500x350.jpg?v=1704424176)
![[ 咬頭対咬頭 ] 不安定な噛み合わせの治療の症例 治療後](https://seimitsushinbi.jp/wp/wp-content/uploads/2024/01/b731dd479f1850bdcd23ca5f0091e16e-500x350.jpg?v=1704423759)