症例・治療例紹介
Cases
Dr. 藤巻太一朗の症例写真
45ページ目 / 112
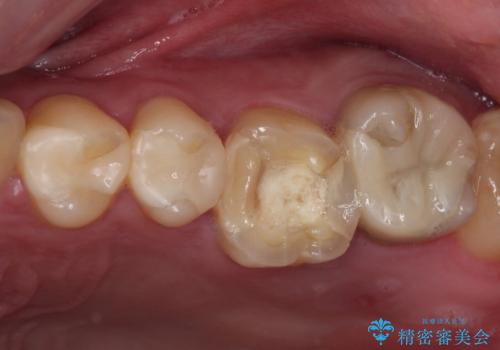
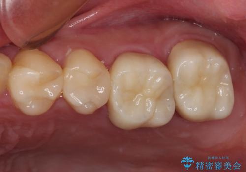
指摘された虫歯 オールセラミッククラウンによる補綴治療


【モニター】1本欠損した下顎前歯と上顎の八重歯 ワイヤー装置で楽して矯正治療
担当医 藤巻太一朗


舌突出癖による開咬 舌のトレーニングを行いながら咬み合わせを改善


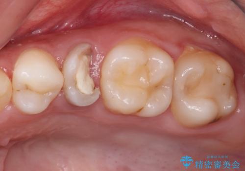
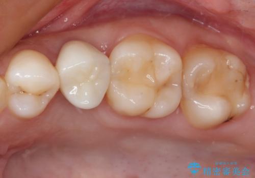
抜歯と言われた奥歯 根管治療と補綴治療


【モニター】急速拡大装置 狭い歯列を拡大してワイヤー装置で短期間治療


前歯のクロスバイトをワイヤー矯正で 結婚式までに治したい


前歯のデコボコを治したい 高校生のインビザライン治療
担当医 藤巻太一朗


乳歯残存と欠損の前歯 矯正治療とオールセラミックブリッジ治療


デコボコと八重歯の目立つ前歯 ワイヤー装置による抜歯矯正
担当医 藤巻太一朗


上顎前突による口元の突出感 強く深い咬合をワイヤー矯正で改善していく


抜歯と言われた歯を残したい 部分矯正と外科処置を用いた補綴治療


【モニター】インビザラインをしっかり使って短期間矯正治療








