症例詳細
Case detail
後戻りで突出した前歯をインビザラインで解消
治療症例の内容
- 診療科目
- 治療カテゴリ
- 担当医
- 藤巻太一朗(ドクタープロフィール)
- 患者様
- 20代女性
- 矯正装置
- インビザライン
- 治療期間
- 2年10ヶ月
- 治療回数
- 10-30回
- 治療計画
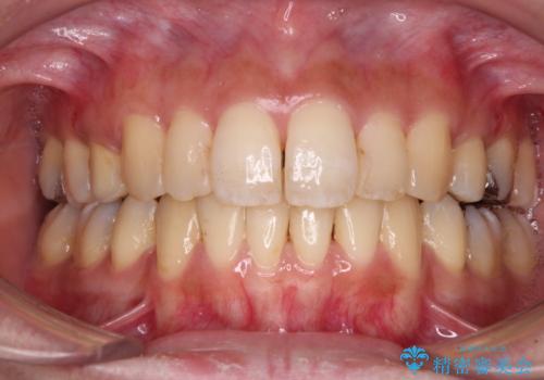
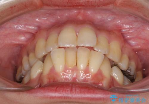
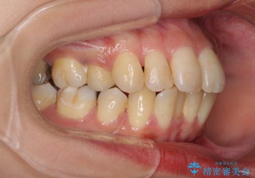
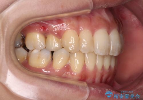
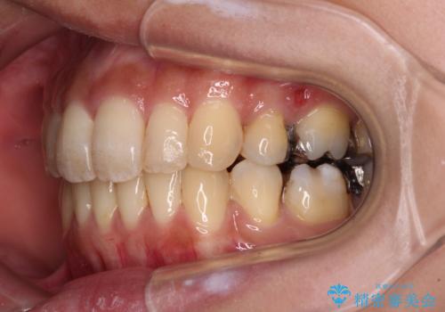
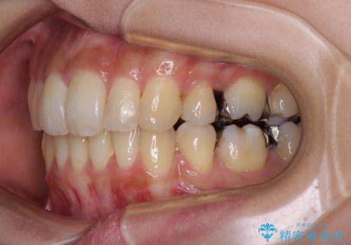
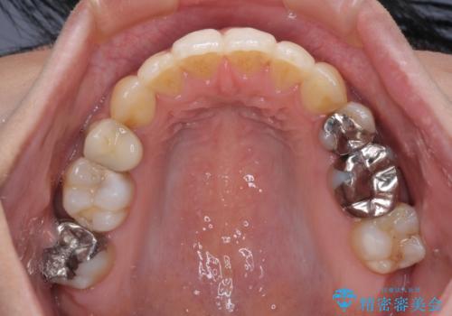
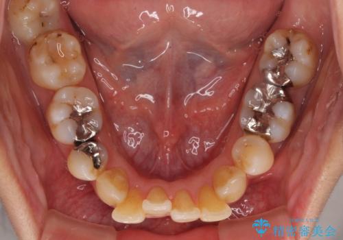
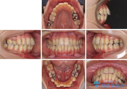
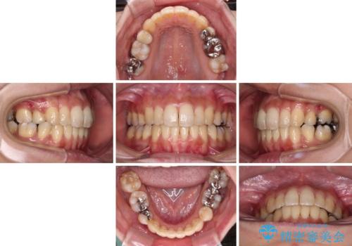
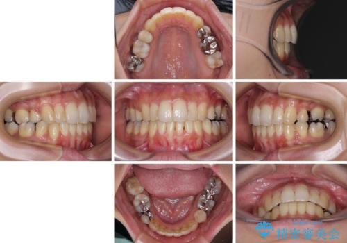
- 抜歯矯正の後戻りで前歯が突出してきていることを気にして来院された患者様です。
口元の突出感を改善するにあたり、抜歯矯正は行うことができないため、奥歯の後方移動とIPR(歯と歯の間を削る)により達成することとしました。
再度後戻りしたときに対応しやすいよう、インビザラインにて矯正治療を行うこととしました。
- 費用(概算)
- 治療費の目安: 88万円(税込)費用は治療当時の料金となります
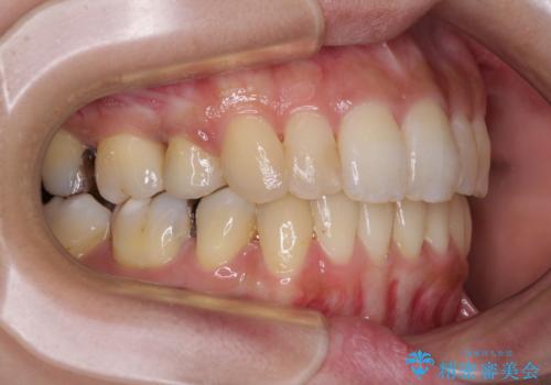
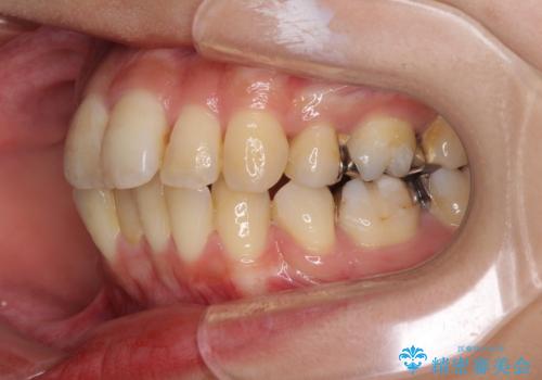
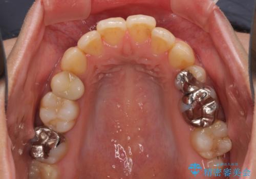
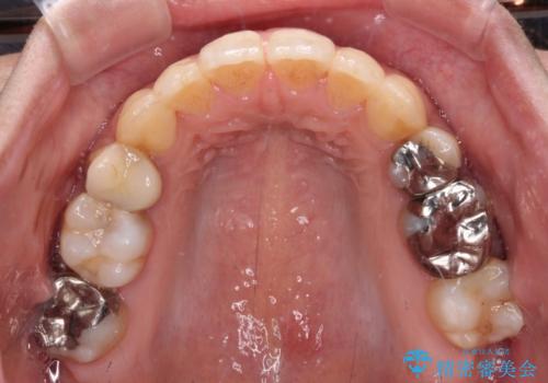
治療について
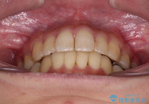
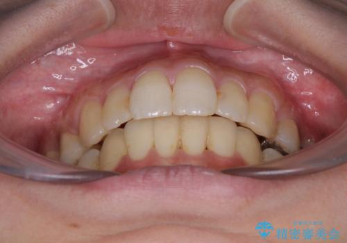
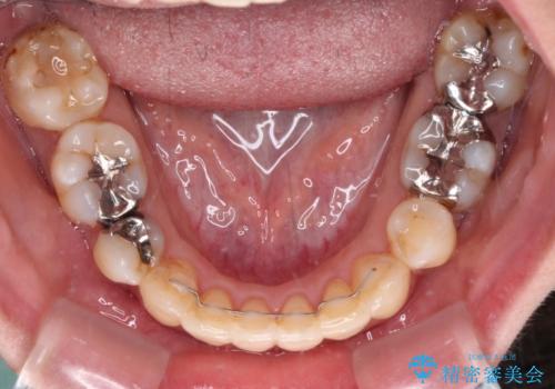
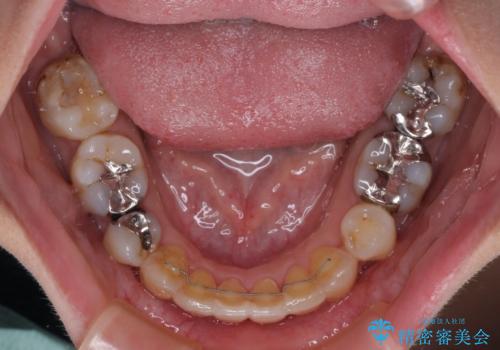
舌の突出癖がなかなか改善できず、IPRによる前歯の隙間が閉じきらずに、予定よりも長い治療期間となりました。
マウスピース矯正の注意事項(リスク・副作用など)
- 口腔内・歯並びの状態によっては対応できない場合があります
- マウスピース型矯正装置の長時間装着(1日20時間以上)が必須です
- 治療計画通りに進めるためには、患者様の意志が重要になります
- 矯正治療後の保定が不十分だと後戻り(元の位置に戻ろうとする動き)をします
- 薬機法対象外の矯正歯科装置のため医薬品副作用被害救済制度の対象外となる場合があります
- 自費診療(保険適用外)となります
当サイトの内容、テキスト、画像等の無断転載、複製、複写、盗用を固く禁じます。



























