症例・治療例紹介
Cases
Dr. 藤巻太一朗の症例写真
12ページ目 / 111
気になるすきっ歯を短期間で改善 インビザライン矯正


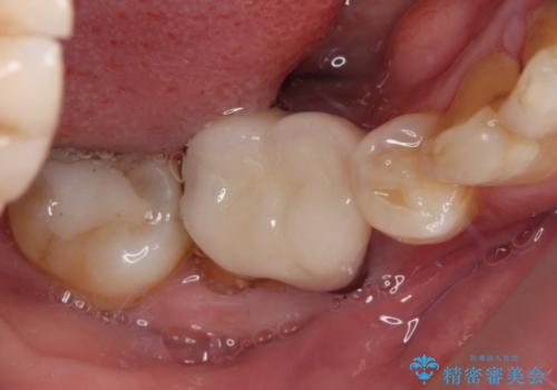
目立つ銀歯をセラミックに 奥歯の審美歯科治療


放置していたむし歯 抜歯即時埋入インプラントで負担を軽減


前歯のデコボコを改善 インビザラインの矯正治療


外れてしまった奥の銀歯 オールセラミッククラウンによる補綴治療


むし歯と前歯のデコボコを治したい インビザラインを使用した総合歯科治療


割れてしまった歯と深いむし歯 部分矯正と外科処置で安定したブリッジ治療


割れてしまった奥歯 インプラントによる補綴治療


強い咬合力で歯が割れる 1DAYインプラントで歯を守りながら治療


抜歯矯正 ワイヤー装置で横顔の印象を改善
担当医 藤巻太一朗


食事をすると痛む奥歯 オールセラミッククラウンでのむし歯治療


マウスピース矯正が煩わしい ワイヤー装置での非抜歯矯正
担当医 藤巻太一朗


気になる出っ歯を治したい ワイヤー装置の抜歯矯正でスッキリした横顔に






