症例・治療例紹介
Cases
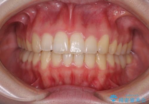
総合歯科治療 → 矯正歯科治療&セラミック治療
8ページ目 / 16
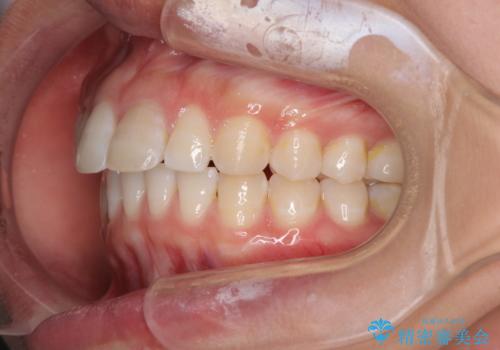
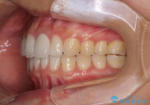
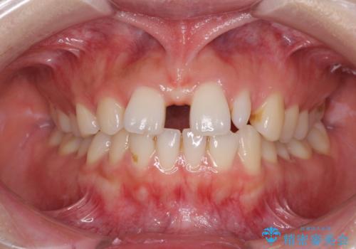
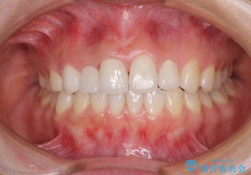
気になる部分を全て治療 総合歯科治療で口腔内環境改善
担当医 藤巻太一朗


前歯を整えたい 小さい前歯がある 矯正・セラミック併用で美しく インビザラインでも抜歯矯正できます


総合歯科治療 矯正治療と失活歯のセラミック補綴治療


部分矯正とセラミック 前歯の審美治療


放置した虫歯 歯ぐきの中まで虫歯でも、しっかり健康的な部分を引っ張り出して、きちんと処置します。


気になる前歯を治したい インビザライン矯正とオールセラミッククラウン


前歯とメタルタトゥー見た目が気になる 矯正・セラミックを組み合わせた治療


前歯のクロスバイトと変色した歯 ワイヤー矯正とセラミック治療


深い咬み合わせと奥歯のむし歯 総合歯科治療


欠損歯と矮小歯 矯正治療と前歯のセラミック治療


50代男性 受け口 他院で5年以上かかると治療を断られた
担当医 井上季実子


前歯ブリッジのやりかえ 下の歯のがたつき 銀歯を全てセラミックに


話しにくい歯並びの改善 抜歯矯正治療と前歯の審美治療


インプラント治療とインビザライン矯正治療 総合歯科治療


出っ歯 すれ違い咬合の改善


セラミック治療の注意事項(リスク・副作用など)
- 天然歯を削ります
- 硬い素材は天然歯を傷つけてしまう場合があります
- かみ合わせや歯ぎしりが強すぎる方はセラミックが割れてしまう可能性があります
- 自費診療(保険適用外治療)となります
ワイヤー矯正歯科治療の注意事項(リスク・副作用など)
- 治療中は違和感や痛みが起こることがあります
- 症状により、抜歯が必要な場合があります
- 治療中は歯磨きがしにくくなるため、虫歯や歯周病になりやすくなります
- 矯正治療後の保定が不十分だと後戻り(元の位置に戻ろうとする動き)をします
- 自費診療(保険適用外)となります
マウスピース矯正の注意事項(リスク・副作用など)
- 口腔内・歯並びの状態によっては対応できない場合があります
- マウスピース型矯正装置の長時間装着が必須です
- 治療計画通りに進めるためには、患者様の意志が重要になります
- 矯正治療後の保定が不十分だと後戻り(元の位置に戻ろうとする動き)をします
- 自費診療(保険適用外)となります
