症例・治療例紹介
Cases
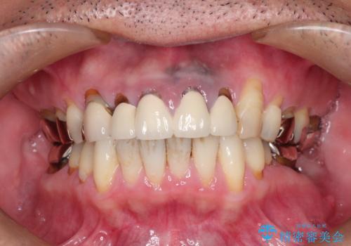
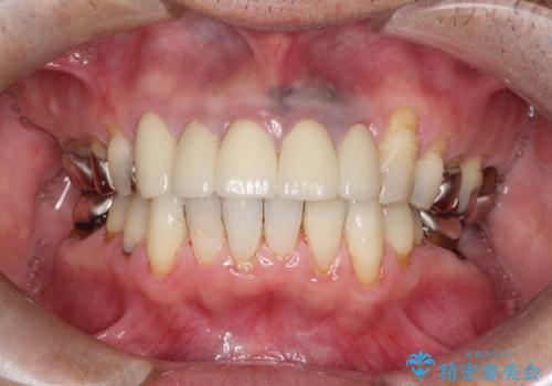
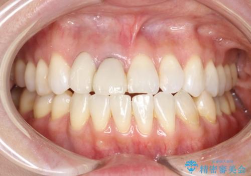
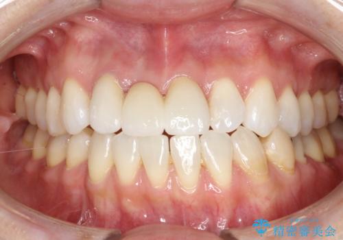
総合歯科治療 → 根管治療&セラミック治療
8ページ目 / 14
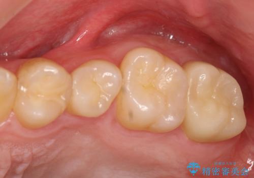
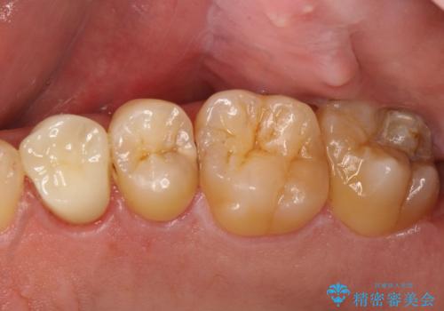
[フルジルコニアクラウン] 老朽化した銀歯を白く
![[フルジルコニアクラウン] 老朽化した銀歯を白くの症例 治療前](https://seimitsushinbi.jp/wp/wp-content/uploads/2020/05/095ef1aef9dfbbc03d4a7b2f7a38a13c-500x350.jpg?v=1588518714)
![[フルジルコニアクラウン] 老朽化した銀歯を白くの症例 治療後](https://seimitsushinbi.jp/wp/wp-content/uploads/2020/05/60951366446f010978e24aba6c35e27e-500x350.jpg?v=1588518777)
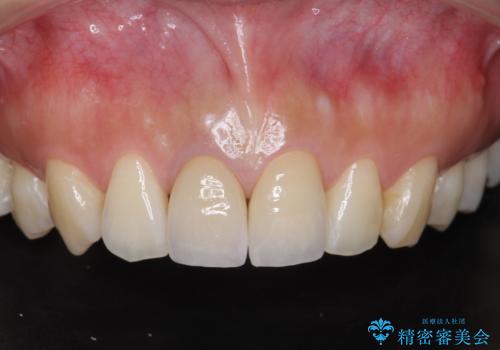
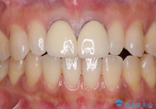
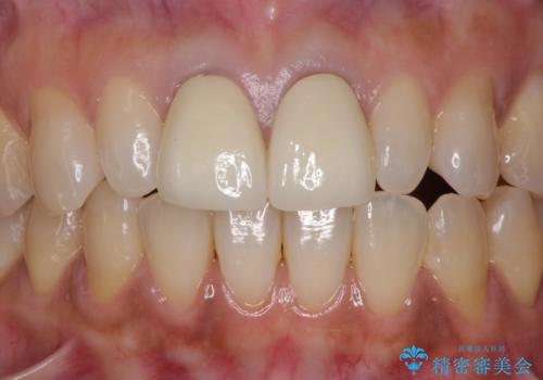
前歯の変色 根管治療と高品質セラミック歯科治療


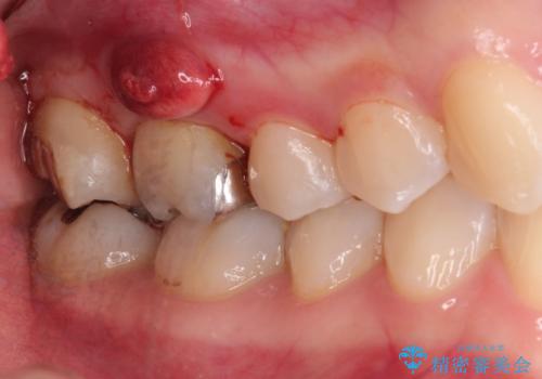
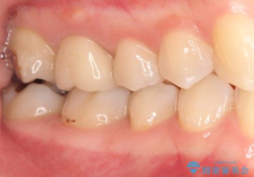
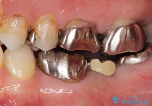
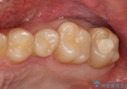
セラミックインレー 下の一番奥歯 歯ぐきの厚みを減らしてぴったりに入れます(ディスタルウェッジ+骨外科)


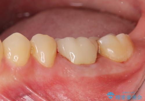
放置してしまった歯 根管治療からの機能回復


この際全てをしっかりと治療したい 総合歯科治療
担当医 藤巻太一朗


前歯をメタルフリーに 根管治療で不安を取り除いてから


歯茎がはれてきた 根の治療をしてからのセラミック装着


上の前歯の根元が黒い 根の治療を含めたセラミック再治療


不適合ブリッジの除去 インプラントによる咬合再構成


奥歯が痛い! 中途半端な治療をしっかりとやり治す


大きな虫歯で崩壊した歯の修復


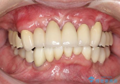
虫歯だらけ、歯周病 崩壊した口腔の再建 フルマウスリコンストラクション


前歯のブリッジの見栄えが悪い→見えないところからしっかりとやり直しを


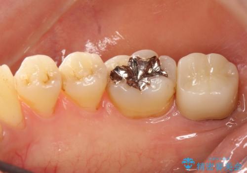
一番奥歯の後ろに虫歯が 処置の難しい虫歯


前歯がぐらぐらする 抜歯→ブリッジへ


セラミック治療の注意事項(リスク・副作用など)
- 天然歯を削ります
- 硬い素材は天然歯を傷つけてしまう場合があります
- かみ合わせや歯ぎしりが強すぎる方はセラミックが割れてしまう可能性があります
- 自費診療(保険適用外治療)となります
根管治療の注意事項(リスク・副作用など)
- 根管治療により類似の全ての症例の問題が解決するわけではなく、症例はあくまでも一例です
- 根管治療により痛みや腫れがひかない事や、術後に痛みや腫れが生じる事、治療によるファイル破折やパーフォレーションなどの偶発症、術後の歯根破折を生じる可能性もあります
- 自費診療(保険適用外)となります
