症例・治療例紹介
Cases
総合歯科治療 → 歯周病治療&セラミック治療
6ページ目 / 13
歯ぎしりによる異常に低い歯冠高径 歯周外科による解決


下の奥歯の虫歯 歯周外科手術を含めた治療


前歯 ブリッジ周囲の腫れた歯ぐきを改善


他院で次に虫歯になったら治せないと言われた 歯周外科手術でしっかり治療(APF)


セラミックインレー 下の一番奥歯 歯ぐきの厚みを減らしてぴったりに入れます(ディスタルウェッジ+骨外科)


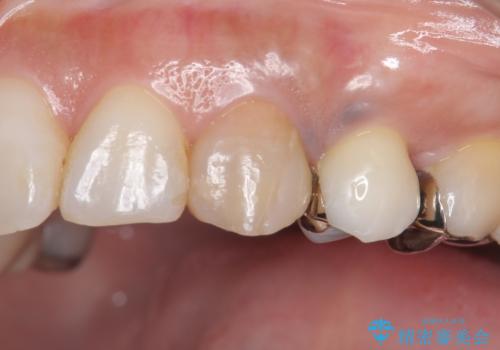
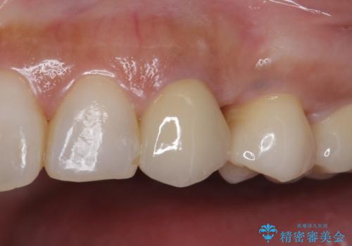
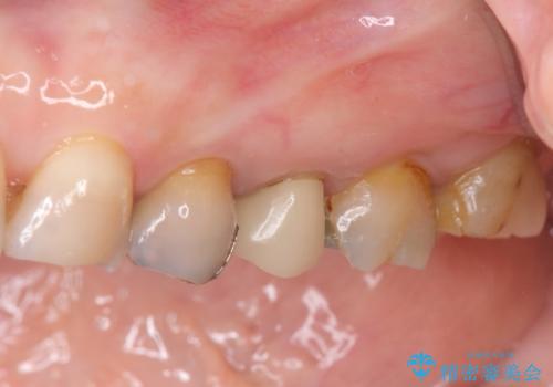
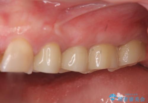
[歯周病治療] 歯周補綴 インプラント補綴
![[歯周病治療] 歯周補綴 インプラント補綴の症例 治療前](https://seimitsushinbi.jp/wp/wp-content/uploads/2020/03/067ed603e15bc4c623e950ffbd6c0829-500x350.jpg?v=1585493851)
![[歯周病治療] 歯周補綴 インプラント補綴の症例 治療後](https://seimitsushinbi.jp/wp/wp-content/uploads/2020/03/93a1bf8bd8e0f11621dbb40f6f1d795c-500x350.jpg?v=1585494318)
犬歯の変色 マウスピースで手軽にエクストリュージョン 歯ぐきの炎症をおさめます


咬合性外傷による歯槽骨吸収 ブリッジ補綴
担当医 大元洋佑


前歯ブリッジのやりかえ
担当医 大元洋佑


この際全てをしっかりと治療したい 総合歯科治療
担当医 藤巻太一朗


オールセラミッククラウン 欠損補綴と再生療法による深いポケットの改善


放置してしまった深い虫歯の治療


歯周病におかされた前歯の再建治療


虫歯だらけ、歯周病 崩壊した口腔の再建 フルマウスリコンストラクション


一番奥歯の後ろに虫歯が 処置の難しい虫歯


セラミック治療の注意事項(リスク・副作用など)
- 天然歯を削ります
- 硬い素材は天然歯を傷つけてしまう場合があります
- かみ合わせや歯ぎしりが強すぎる方はセラミックが割れてしまう可能性があります
- 自費診療(保険適用外治療)となります
歯周病治療の注意事項(リスク・副作用など)
- 外科手術のため、術後に痛みや腫れ、違和感を伴います
- 歯周組織再生治療は患者様の状態によって術後の経過が異なります(見た目が改善しない場合もあります)
- 歯周組織再生治療は自費診療(保険適用外)となります
