症例・治療例紹介
Cases
総合歯科治療 → 矯正歯科治療&セラミック治療
6ページ目 / 16
咬み合わせが気になる ワイヤー矯正による咬み合わせ改善と奥歯のセラミック治療


矮小歯を綺麗な歯に。矯正とセラミックの総合治療


【モニター】前歯のデコボコと奥歯の虫歯 インビザライン治療と奥歯のセラミック治療


一度諦めた矯正にチャレンジしたい インビザラインとセラミック治療


歯がないところに歯をつくる:矯正とセラミックの合わせ技で審美的な口元を


後戻りした歯並びをきれいにしたい


奥歯の銀歯と歯並びを改善 歯周外科治療と矯正治療を行った総合歯科診療


結婚式までに前歯をきれいにしたい 抜歯矯正とオールセラミッククラウン


口元の突出感を治したい 治療中の歯も治したい


インプラント治療・セラミック治療を含む 全顎的虫歯治療
担当医 大元洋佑


前歯が反対になっている マウスピース矯正+奥歯ブリッジ


前歯のクロスバイトと抜歯が必要な奥歯の虫歯 インビザラインとインプラント治療


折れた前歯を使えるように、抜かないで残す方法


転んで前歯が欠けた 折れた前歯をきっかけに矯正治療で歯列をきれいに整える


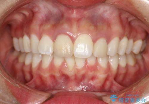
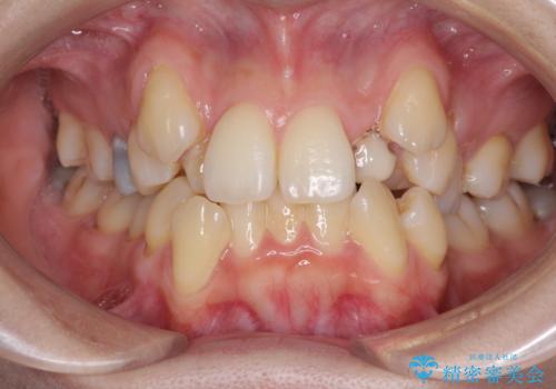
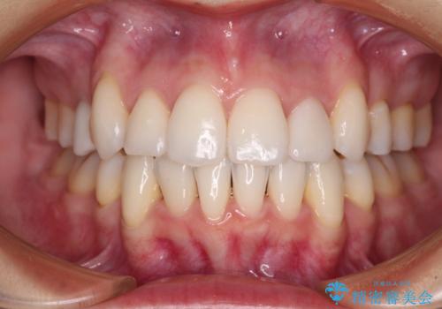
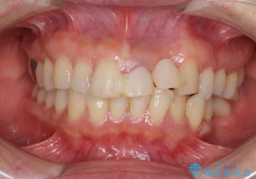
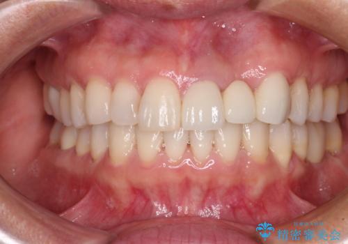
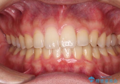
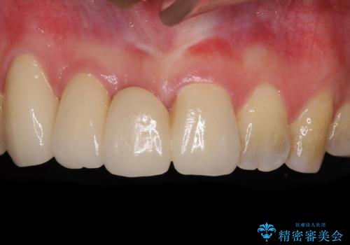
[ 矯正と補綴、総合歯科治療 ] クロスバイトを避ける前歯部審美ブリッジ
![[ 矯正と補綴、総合歯科治療 ] クロスバイトを避ける前歯部審美ブリッジの症例 治療前](https://seimitsushinbi.jp/wp/wp-content/uploads/2021/07/IMG_9914-500x350.jpg?v=1626697179)
![[ 矯正と補綴、総合歯科治療 ] クロスバイトを避ける前歯部審美ブリッジの症例 治療後](https://seimitsushinbi.jp/wp/wp-content/uploads/2021/07/fcd77503a97e2f3a648f6e8698e34626-500x350.jpg?v=1626697051)
セラミック治療の注意事項(リスク・副作用など)
- 天然歯を削ります
- 硬い素材は天然歯を傷つけてしまう場合があります
- かみ合わせや歯ぎしりが強すぎる方はセラミックが割れてしまう可能性があります
- 自費診療(保険適用外治療)となります
ワイヤー矯正歯科治療の注意事項(リスク・副作用など)
- 治療中は違和感や痛みが起こることがあります
- 症状により、抜歯が必要な場合があります
- 治療中は歯磨きがしにくくなるため、虫歯や歯周病になりやすくなります
- 矯正治療後の保定が不十分だと後戻り(元の位置に戻ろうとする動き)をします
- 自費診療(保険適用外)となります
マウスピース矯正の注意事項(リスク・副作用など)
- 口腔内・歯並びの状態によっては対応できない場合があります
- マウスピース型矯正装置の長時間装着が必須です
- 治療計画通りに進めるためには、患者様の意志が重要になります
- 矯正治療後の保定が不十分だと後戻り(元の位置に戻ろうとする動き)をします
- 自費診療(保険適用外)となります
