症例・治療例紹介
Cases
総合歯科治療 → 歯周病治療&インプラント治療
3ページ目 / 5
歯肉移植(FGG)による角化歯肉の獲得で長持ちするインプラントへ 50代男性


歯がぐらぐら 再生療法で抜かずに残す 50代男性


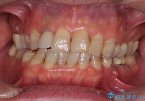
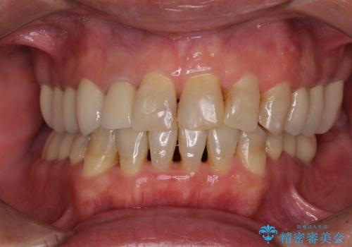
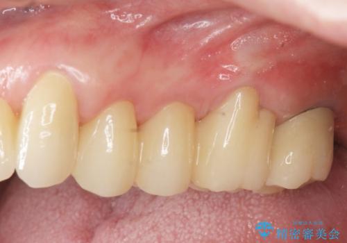
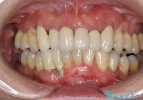
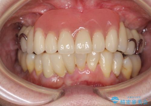
[ 重度歯周病 ] インプラント・義歯による咬合再構築
![[ 重度歯周病 ] インプラント・義歯による咬合再構築の症例 治療前](https://seimitsushinbi.jp/wp/wp-content/uploads/2021/07/0a652e75d5f31b51f66fbb3c46093249-500x350.jpg?v=1626759388)
![[ 重度歯周病 ] インプラント・義歯による咬合再構築の症例 治療後](https://seimitsushinbi.jp/wp/wp-content/uploads/2021/07/4c6838854beaf5801dbc7fde26492d6c-500x350.jpg?v=1626759531)
歯列不正と歯周病 総合歯科治療による全顎治療
担当医 藤巻太一朗


骨を再生させて歯周病を治す 再生療法 50代男性


歯がぐらぐら 上顎洞底挙上術を併用した奥歯のインプラント 50代男性


インプラント治療で達成するしっかりと食事できる噛み合わせ


歯ぎしりに抵抗する歯周補綴 インプラント補綴


痛くて噛めない インプラントで全て治療したい
担当医 大元洋佑


吸収した骨の再生 前歯部インプラント治療


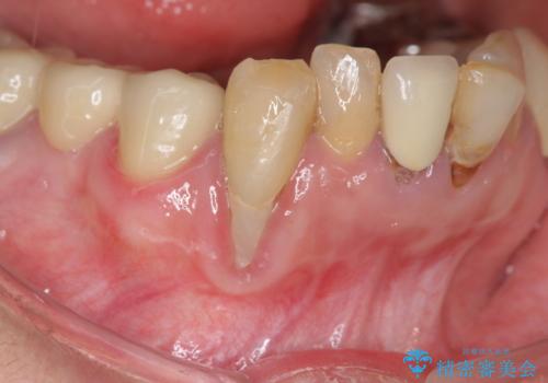
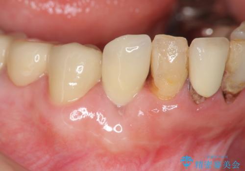
[ 上顎多数歯欠損 ] インプラント・義歯を用いた補綴
![[ 上顎多数歯欠損 ] インプラント・義歯を用いた補綴の症例 治療前](https://seimitsushinbi.jp/wp/wp-content/uploads/2020/09/df191d89bffff661c1e5377feed6ed49-500x350.jpg?v=1600566138)
![[ 上顎多数歯欠損 ] インプラント・義歯を用いた補綴の症例 治療後](https://seimitsushinbi.jp/wp/wp-content/uploads/2020/09/8be5dd778f94eb578b5490a0ba817f10-1-500x350.jpg?v=1600566164)
抜歯時歯槽堤保存術を用いた骨造成・インプラント治療


インプラントを用いた歯周病全顎治療
担当医 大元洋佑


[インプラント補綴] 上顎洞底の再建に伴うサイナスフロアエレベーション
![[インプラント補綴] 上顎洞底の再建に伴うサイナスフロアエレベーションの症例 治療前](https://seimitsushinbi.jp/wp/wp-content/uploads/2020/07/26710335cb7c3cd2c175d1966ec0b37e-500x350.jpg?v=1595068330)
![[インプラント補綴] 上顎洞底の再建に伴うサイナスフロアエレベーションの症例 治療後](https://seimitsushinbi.jp/wp/wp-content/uploads/2020/07/e33c6c4ada3e786d147e57a4cfba6b9e-500x350.jpg?v=1595068416)
歯周病 インプラントによる咬合機能回復


インプラント治療の注意事項(リスク・副作用など)
- 外科手術のため、術後に痛みや腫れ、違和感を伴います
- メンテナンスを怠ったり喫煙により、お口の中に大きな悪影響を及ぼすインプラント周囲炎等にかかる可能性があります
- 糖尿病、肝硬変、心臓病等の場合、インプラント治療ができない可能性があります
- 高血圧、貧血・不整脈等の場合、インプラント治療後に治癒不全を招く可能性があります
- 自費診療(保険適用外治療)となります
歯周病治療の注意事項(リスク・副作用など)
- 外科手術のため、術後に痛みや腫れ、違和感を伴います
- 歯周組織再生治療は患者様の状態によって術後の経過が異なります(見た目が改善しない場合もあります)
- 歯周組織再生治療は自費診療(保険適用外)となります
