症例・治療例紹介
Cases
歯周病治療 → 歯周ポケットの除去
5ページ目 / 7
部分矯正を含む 歯周病治療 (再生治療・歯周ポケット除去・MTM・連結補綴)


どんなに歯を磨いても治らない 重度歯周病患者の治療
担当医 藤巻太一朗


虫歯がたくさん 歯肉深くにまで及んだ虫歯の治療


歯槽骨の再生治療を用いた歯周病治療


奥歯のオールセラミックブリッジ インプラントかブリッジかで悩む


総合歯科診療 矯正希望で通院したら前歯がクラウンになっていた方の再治療


奥歯で物を噛めるようにしたい 入れ歯による咬合回復


ボロボロの歯を何とかしたい 総合歯科治療による全顎治療
担当医 藤巻太一朗


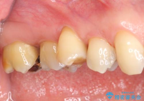
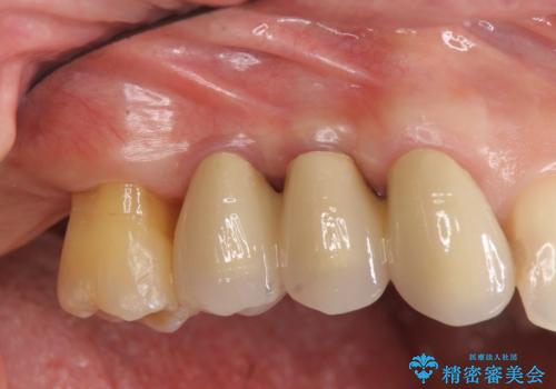
[歯周病治療] 再生療法で歯を残す②
担当医 大元洋佑
![[歯周病治療]  再生療法で歯を残す②の症例 治療前](https://seimitsushinbi.jp/wp/wp-content/uploads/2019/01/0ffdc5b1b2d07c4ae569ea27e1126f54-500x350.jpg)
![[歯周病治療]  再生療法で歯を残す②の症例 治療後](https://seimitsushinbi.jp/wp/wp-content/uploads/2019/01/041488131c79b655b9a827603884c4ed-500x350.jpg)
[歯周病治療] 再生療法で歯を残す①
担当医 大元洋佑
![[歯周病治療]  再生療法で歯を残す①の症例 治療前](https://seimitsushinbi.jp/wp/wp-content/uploads/2019/01/21b79970b2f094c1cb9d4b48b42447de-500x350.jpg)
![[歯周病治療]  再生療法で歯を残す①の症例 治療後](https://seimitsushinbi.jp/wp/wp-content/uploads/2019/01/7647be2c869a74583a01123ac9778a95-500x350.jpg)
歯肉の中の深い虫歯 外科処置による適正な虫歯治療


インプラント・再生治療を応用した全顎的重度歯周病治療


部分矯正による咬合平面の改善 オールセラミッククラウンとノンクラスプデンチャー


感染を生じている奥歯の根本的な治療→かみ合わせの回復


歯周病治療の注意事項(リスク・副作用など)
- 外科手術のため、術後に痛みや腫れ、違和感を伴います
 - 歯周組織再生治療は患者様の状態によって術後の経過が異なります(見た目が改善しない場合もあります)
 - 歯周組織再生治療は自費診療(保険適用外)となります
 

                      
