症例・治療例紹介
Cases
その他 → 入れ歯
2ページ目 / 4
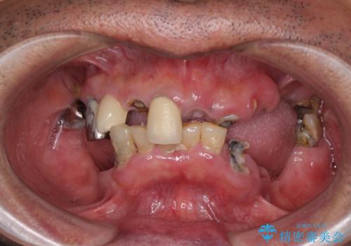
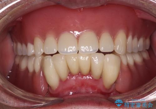
[ インプラントオーバーデンチャー ] インプラント+入れ歯・ブリッジで作るしっかりとした咬合状態
![[ インプラントオーバーデンチャー ] インプラント+入れ歯・ブリッジで作るしっかりとした咬合状態の症例 治療前](https://seimitsushinbi.jp/wp/wp-content/uploads/2022/04/0a652e75d5f31b51f66fbb3c46093249-500x350.jpg?v=1650443463)
![[ インプラントオーバーデンチャー ] インプラント+入れ歯・ブリッジで作るしっかりとした咬合状態の症例 治療後](https://seimitsushinbi.jp/wp/wp-content/uploads/2022/04/4c6838854beaf5801dbc7fde26492d6c-500x350.jpg?v=1650443495)
上の入れ歯がゆるくてはずれやすい 適合の良い金属床義歯 70代女性


どこで咬んでいいのか分からない インプラント・オーバーデンチャーによる補綴治療


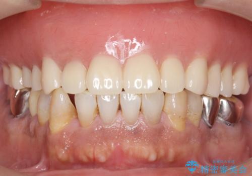
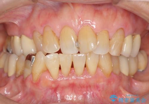
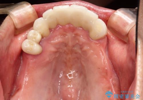
[ 重度歯周病 ] インプラント・義歯による咬合再構築
![[ 重度歯周病 ] インプラント・義歯による咬合再構築の症例 治療前](https://seimitsushinbi.jp/wp/wp-content/uploads/2021/07/0a652e75d5f31b51f66fbb3c46093249-500x350.jpg?v=1626759388)
![[ 重度歯周病 ] インプラント・義歯による咬合再構築の症例 治療後](https://seimitsushinbi.jp/wp/wp-content/uploads/2021/07/4c6838854beaf5801dbc7fde26492d6c-500x350.jpg?v=1626759531)
交通事故で前歯が折れた マグネットデンチャー 50代男性


奥歯がないまま過ごしていたら前歯もぐらぐらしてきた 60代女性


ノンクラスプデンチャー(バルプラスト)


[ 上顎多数歯欠損 ] インプラント・義歯を用いた補綴
![[ 上顎多数歯欠損 ] インプラント・義歯を用いた補綴の症例 治療前](https://seimitsushinbi.jp/wp/wp-content/uploads/2020/09/df191d89bffff661c1e5377feed6ed49-500x350.jpg?v=1600566138)
![[ 上顎多数歯欠損 ] インプラント・義歯を用いた補綴の症例 治療後](https://seimitsushinbi.jp/wp/wp-content/uploads/2020/09/8be5dd778f94eb578b5490a0ba817f10-1-500x350.jpg?v=1600566164)
ノンクラスプデンチャー 抜歯になった歯の補綴


歯周病 インプラントによる咬合機能回復


入れ歯の注意事項(リスク・副作用など)
- ブリッジやインプラントと比較して、色が合いづらい、見た目の違和感があります
- ブリッジやインプラントと比較して、話しにくい、舌が当たる等の違和感があります
- 慣れるまで微調整で何度か通って頂くことがあります
- 就寝時や食後に毎回取り外して、清掃する必要があります
- 自費診療(保険適用外)となります





![[ノンクラスプデンチャー] バネの見えない審美的な入れ歯の症例 治療前](https://seimitsushinbi.jp/wp/wp-content/uploads/2021/02/480a4da9134b2990e9e72c06334fc429-500x350.jpg?v=1614168119)
![[ノンクラスプデンチャー] バネの見えない審美的な入れ歯の症例 治療後](https://seimitsushinbi.jp/wp/wp-content/uploads/2021/02/537e8060d98363c0cd1f275b6f5d9335-500x350.jpg?v=1614168113)


![[目立たない入れ歯] ノンクラスプデンチャー バルプラストの症例 治療前](https://seimitsushinbi.jp/wp/wp-content/uploads/2020/11/480a4da9134b2990e9e72c06334fc429-500x350.jpg?v=1606470666)
![[目立たない入れ歯] ノンクラスプデンチャー バルプラストの症例 治療後](https://seimitsushinbi.jp/wp/wp-content/uploads/2020/11/537e8060d98363c0cd1f275b6f5d9335-500x350.jpg?v=1606470657)