症例・治療例紹介
Cases
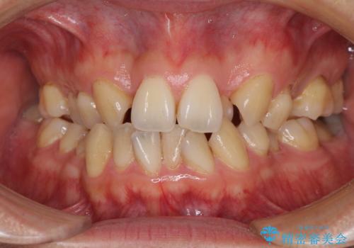
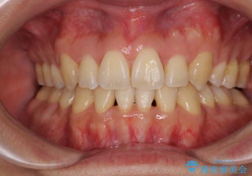
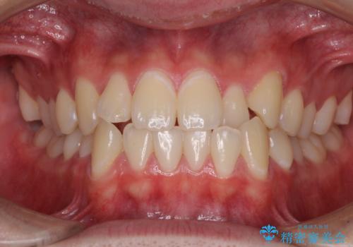
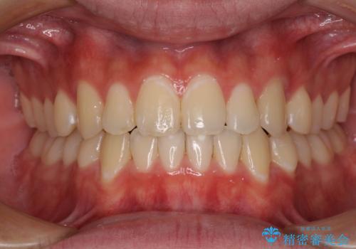
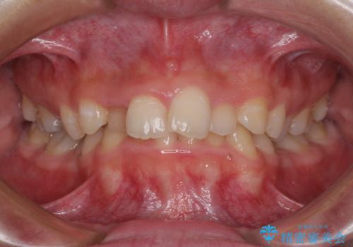
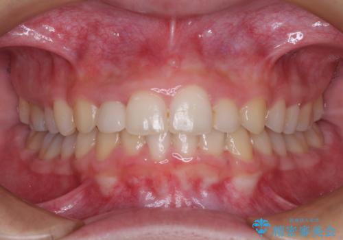
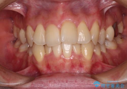
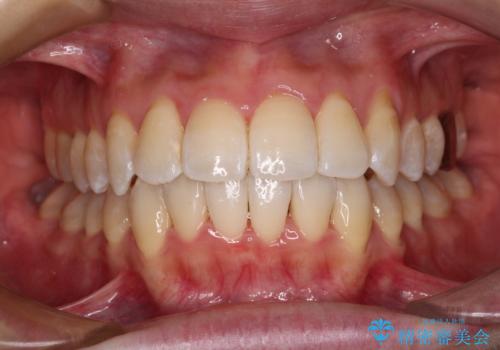
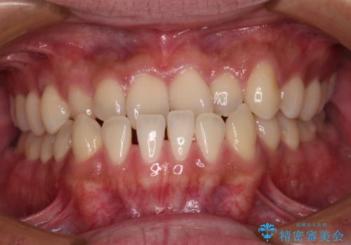
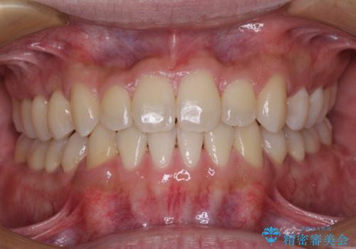
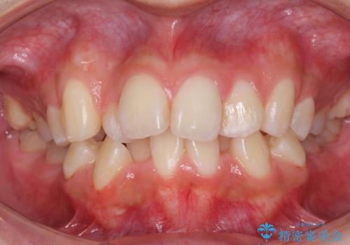
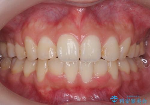
矯正歯科治療 → 交叉咬合(クロスバイト)
7ページ目 / 19
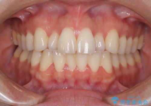
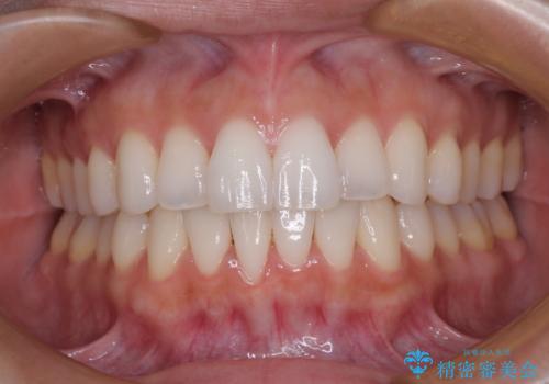
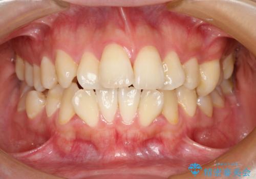
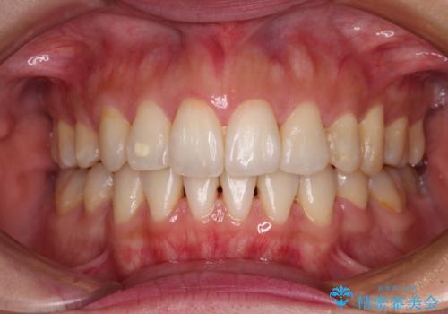
前歯のデコボコを抜歯矯正で改善 メタル装置で費用を抑える


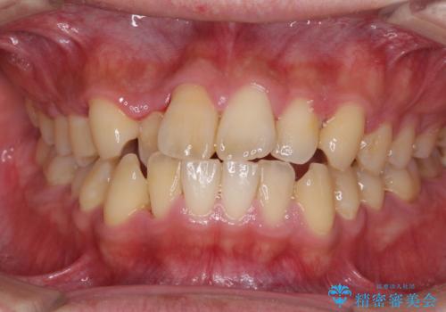
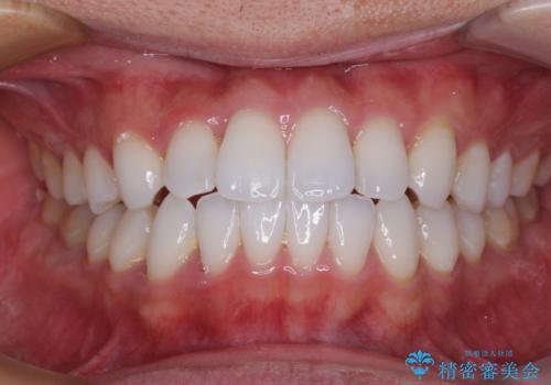
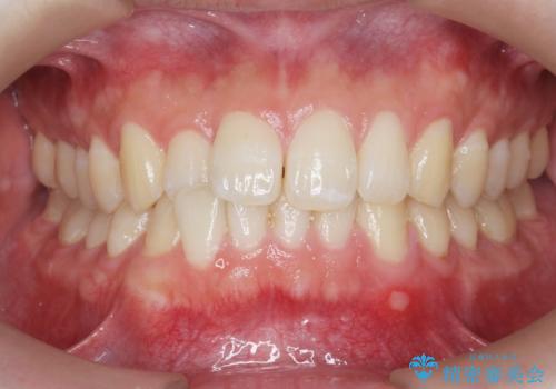
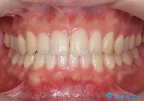
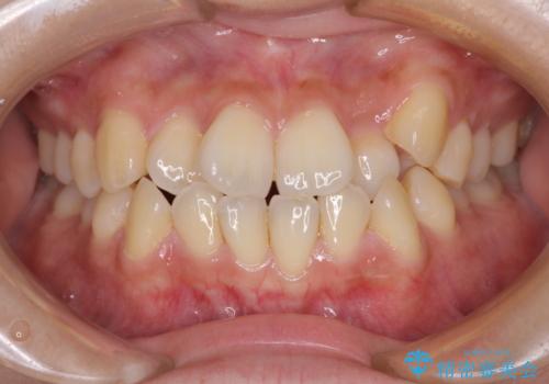
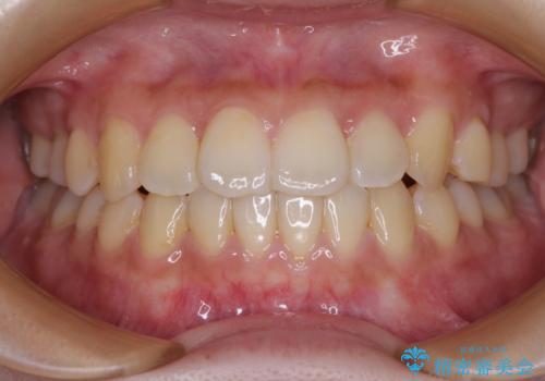
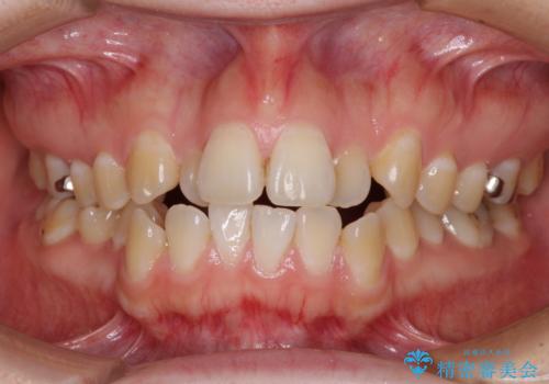
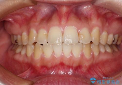
重なり合って磨きにくい前歯 ワイヤー装置での抜歯矯正


重なって磨きにくい上下の前歯 ワイヤー装置での抜歯矯正


受け口傾向の咬み合わせ インビザラインできれいな口元に


前歯のクロスバイト インビザラインによる矯正治療


前歯のクロスバイトを改善 インビザラインによる矯正治療


前歯のすれ違い マウスピース矯正


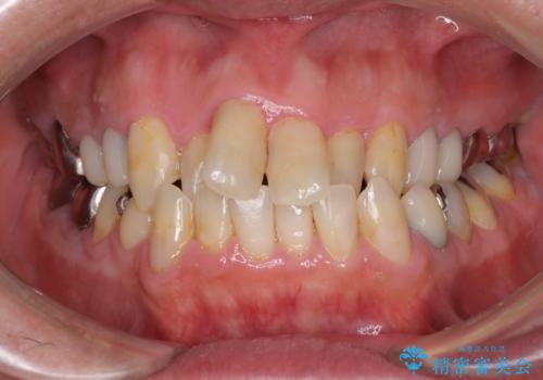
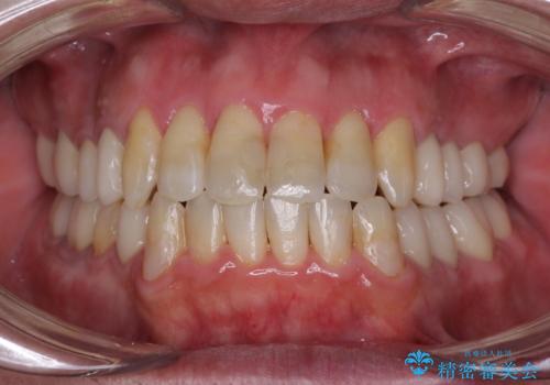
飛び出した前歯と目立つ銀歯 矯正とセラミックの総合歯科診療


【モニター】前歯のデコボコを改善 ワイヤー矯正を併用したインビザライン矯正


【モニター】前歯のデコボコと変色した前歯をインビザラインとオールセラミッククラウンで


裏側矯正の途中で海外へ インビザライン・チェンジによる矯正治療


舌突出癖による開咬 舌のトレーニングを行いながら咬み合わせを改善


【モニター】急速拡大装置 狭い歯列を拡大してワイヤー装置で短期間治療


前歯のクロスバイトをワイヤー矯正で 結婚式までに治したい


口元大事です! 見違える矯正!! 乱ぐい歯もあきらめないでください。


ワイヤー矯正歯科治療の注意事項(リスク・副作用など)
- 治療中は違和感や痛みが起こることがあります
- 症状により、抜歯が必要な場合があります
- 治療中は歯磨きがしにくくなるため、虫歯や歯周病になりやすくなります
- 矯正治療後の保定が不十分だと後戻り(元の位置に戻ろうとする動き)をします
- 自費診療(保険適用外)となります
マウスピース矯正の注意事項(リスク・副作用など)
- 口腔内・歯並びの状態によっては対応できない場合があります
- マウスピース型矯正装置の長時間装着が必須です
- 治療計画通りに進めるためには、患者様の意志が重要になります
- 矯正治療後の保定が不十分だと後戻り(元の位置に戻ろうとする動き)をします
- 自費診療(保険適用外)となります
