症例・治療例紹介
Cases
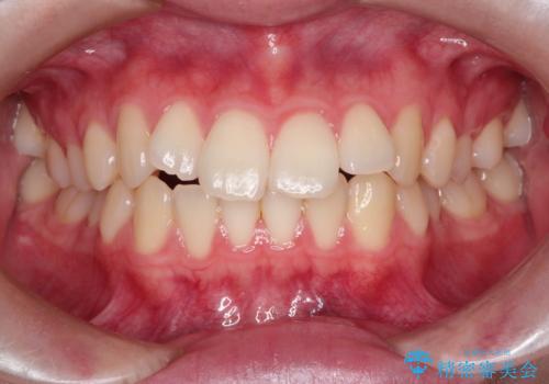
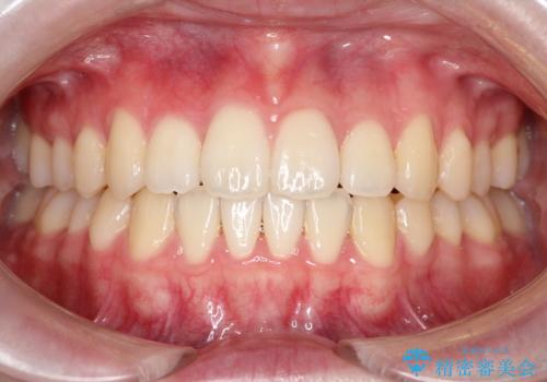
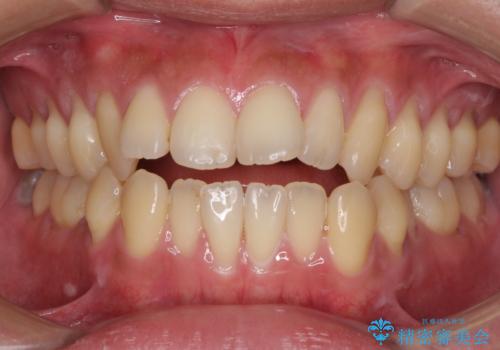
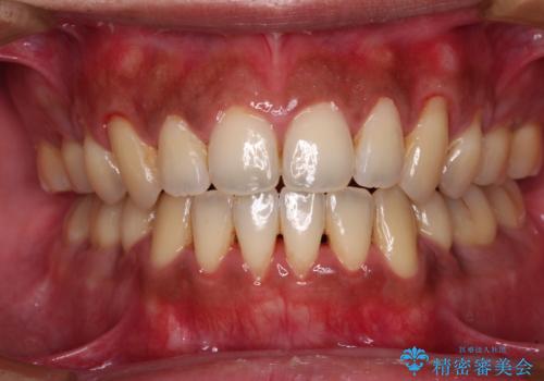
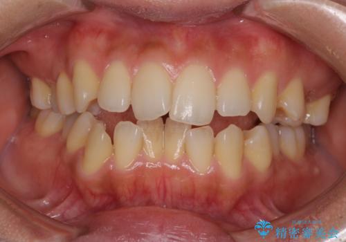
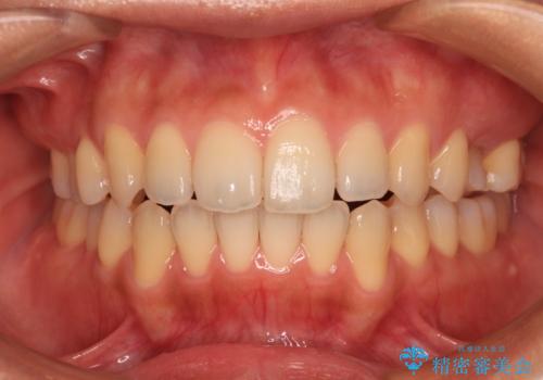
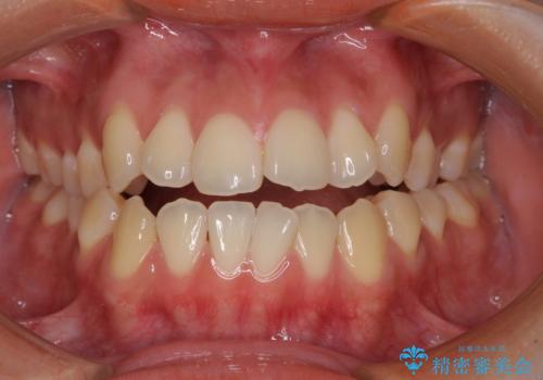
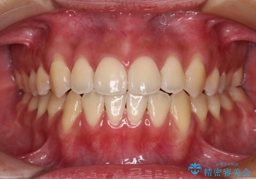
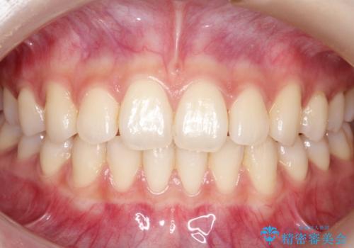
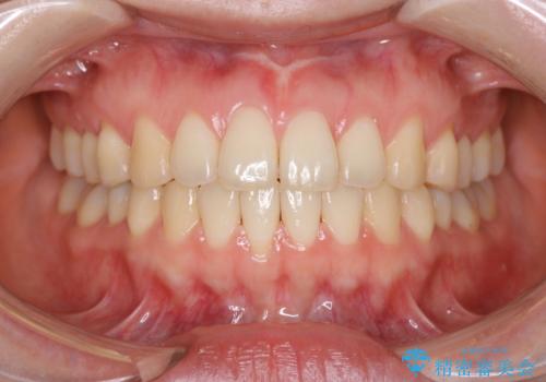
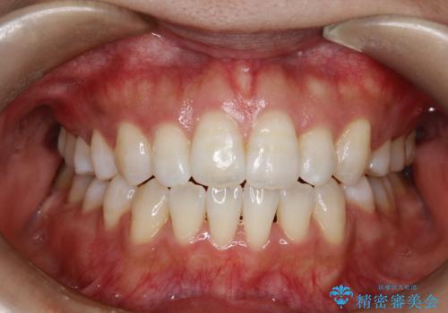
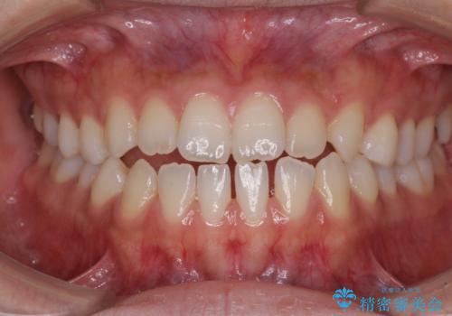
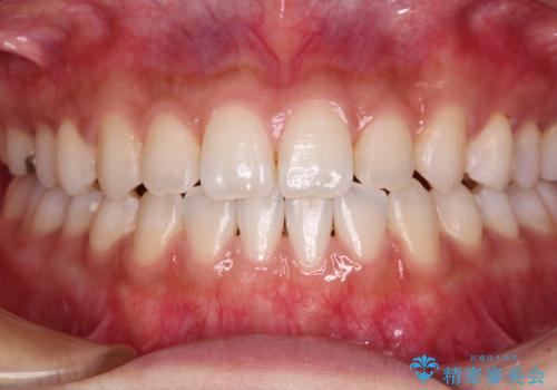
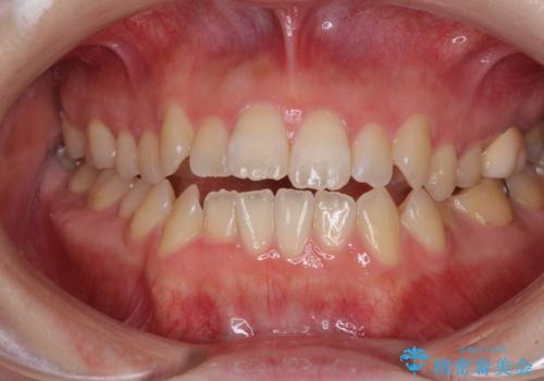
矯正歯科治療 → 開咬(オープンバイト)
5ページ目 / 8
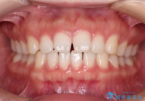
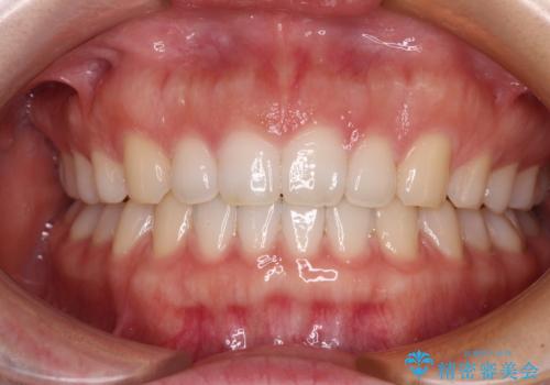
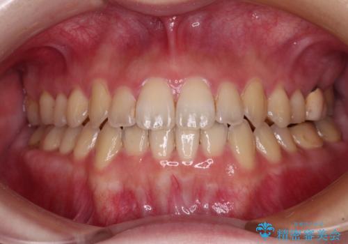
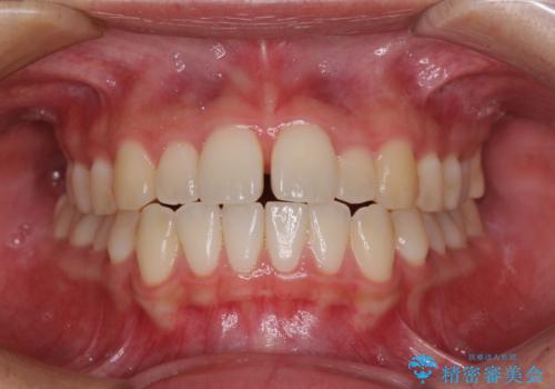
【インビザライン】前歯のガタガタをなおしたい
担当医 河口智英


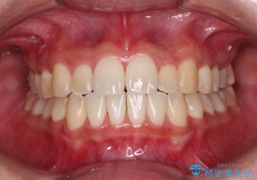
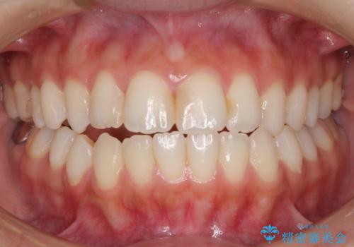
急速拡大装置 狭い上顎骨を拡大してワイヤー装置で短期間治療


隙間が空いて突出した前歯を治したい ワイヤー装置による抜歯矯正


すきっ歯とオープンバイト インビザライン・ライトで改善


残存乳歯とオープンバイト インビザラインによる矯正治療


極端な上下前歯の開咬を改善 オープンバイトのインビザライン矯正


受け口と開咬を急速拡大装置とワイヤー装置で改善


【前歯で噛めません、すきっ歯も気になります】インビザライン治療症例


前歯で噛めない:オープンバイト(開咬)を非抜歯インビザラインで治療


上下の前歯がかめない インビザライン矯正で正しいかみ合わせへ


前歯がガタガタで咬めない ワイヤーによる抜歯矯正で整った歯並びへ


舌突出癖で口元が開いてしまう 舌トレーニングを行ったインビザライン矯正


オープンバイトと前歯のデコボコをインビザライン矯正で解消


すきっ歯とオープンバイトをインビザラインで改善


オープンバイトによる見た目を治したい インビザラインでの矯正治療


ワイヤー矯正歯科治療の注意事項(リスク・副作用など)
- 治療中は違和感や痛みが起こることがあります
- 症状により、抜歯が必要な場合があります
- 治療中は歯磨きがしにくくなるため、虫歯や歯周病になりやすくなります
- 矯正治療後の保定が不十分だと後戻り(元の位置に戻ろうとする動き)をします
- 自費診療(保険適用外)となります
マウスピース矯正の注意事項(リスク・副作用など)
- 口腔内・歯並びの状態によっては対応できない場合があります
- マウスピース型矯正装置の長時間装着が必須です
- 治療計画通りに進めるためには、患者様の意志が重要になります
- 矯正治療後の保定が不十分だと後戻り(元の位置に戻ろうとする動き)をします
- 自費診療(保険適用外)となります
