症例詳細
Case detail
受け口と開咬を急速拡大装置とワイヤー装置で改善
治療症例の内容
- 診療科目
- 担当医
- 藤巻太一朗(ドクタープロフィール)
- 患者様
- 20代女性
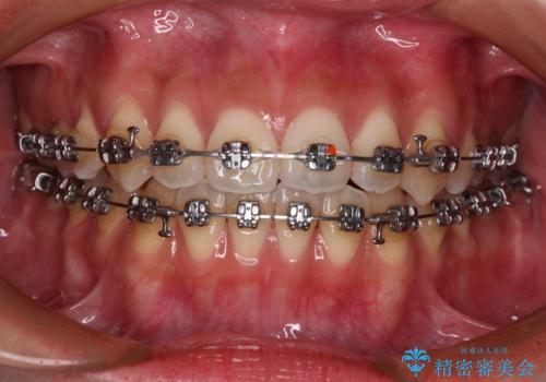
- 矯正装置
- メタルブラケット
- 治療期間
- 1年3ヶ月
- 治療回数
- 10-30回
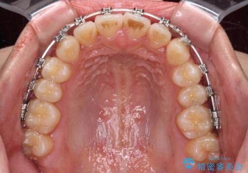
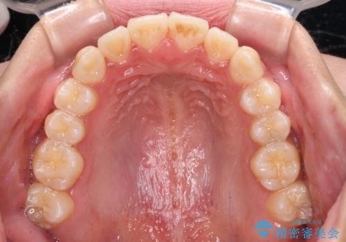
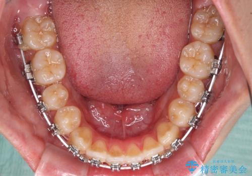
- 治療計画
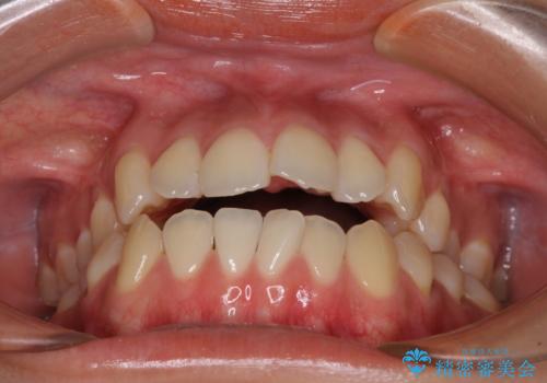
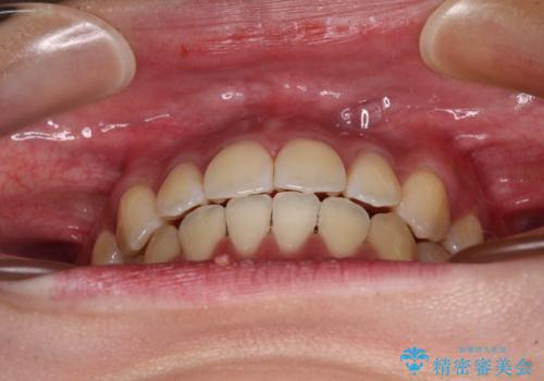
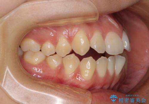
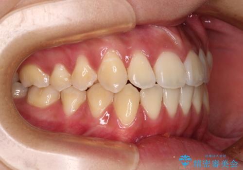
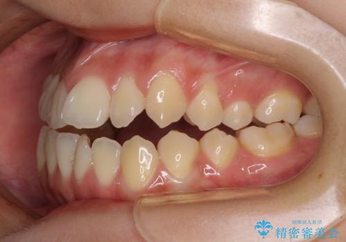
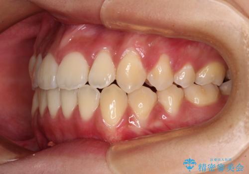
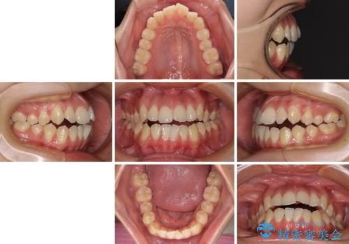
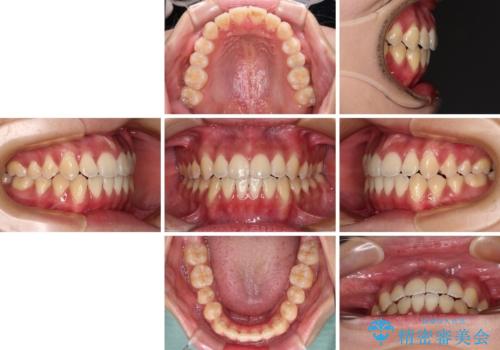
- 前歯の開咬と、受け口による咬み合わせの悪さを気にして来院された患者様です。
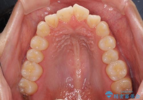
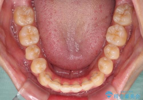
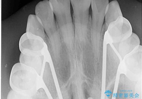
上顎歯列が狭窄していたため、急速拡大装置により上顎骨を側方に拡大し、その後ワイヤー装置にて矯正治療を行うこととしました。
- 費用(概算)
- 治療費の目安: 90万円(税込)費用は治療当時の料金となります
治療について
舌の突出癖が開咬の原因であったので、改善のための舌トレーニングを行っていただきました。
舌トレーニングは後戻りにも大きく影響するため、とても重要なトレーニングです。
ワイヤー矯正の注意事項(リスク・副作用など)
- 治療中は違和感や痛みが起こることがあります
- 症状により、抜歯が必要な場合があります
- 治療中は歯磨きがしにくくなるため、虫歯や歯周病になりやすくなります
- 矯正治療後の保定が不十分だと後戻り(元の位置に戻ろうとする動き)をします
- 自費診療(保険適用外)となります
当サイトの内容、テキスト、画像等の無断転載、複製、複写、盗用を固く禁じます。
































