症例・治療例紹介
Cases
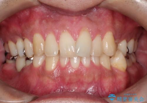
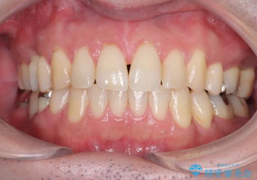
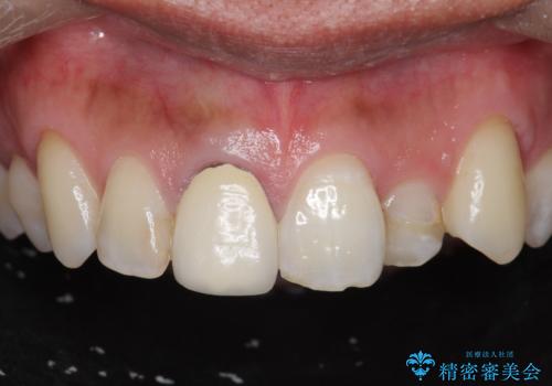
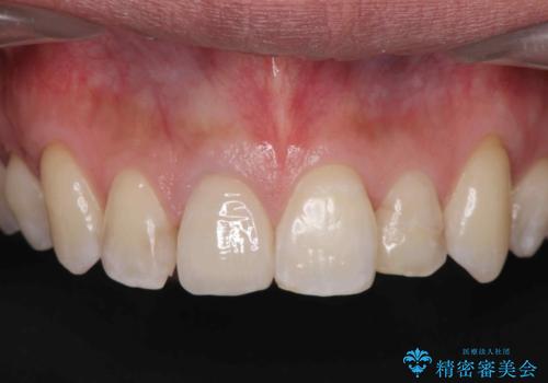
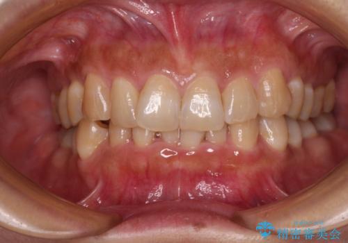
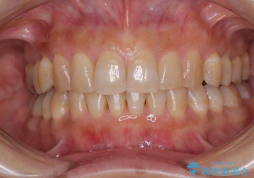
矯正歯科治療 → 叢生(でこぼこ・八重歯)
5ページ目 / 91
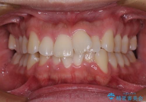
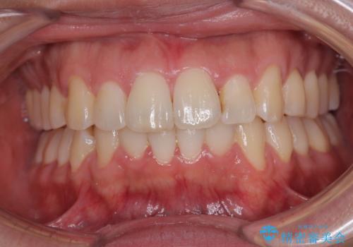
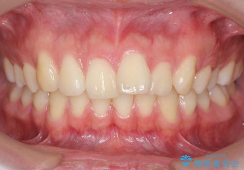
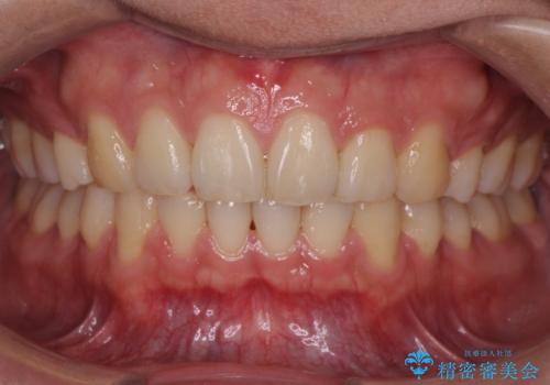
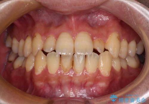
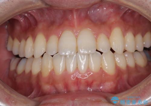
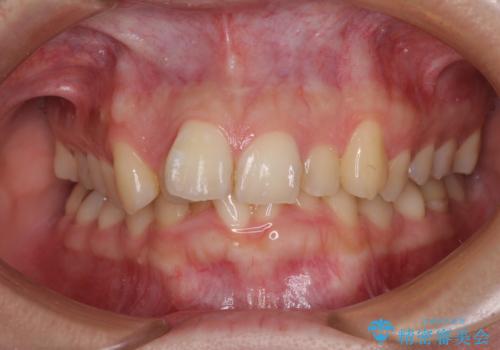
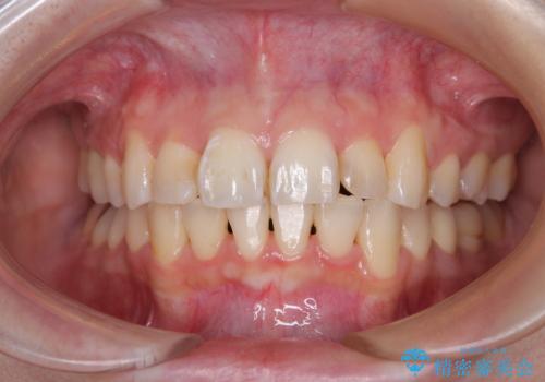
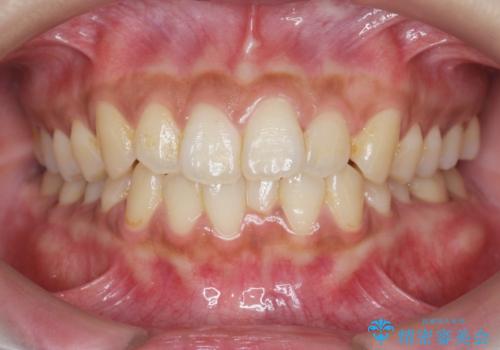
前歯のガタガタを改善|審美ワイヤー矯正で整った歯並びへ
担当医 河口智英


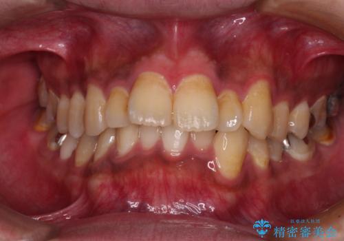
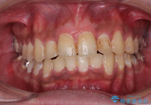
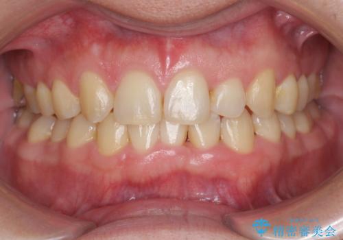
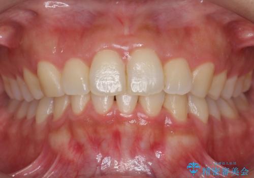
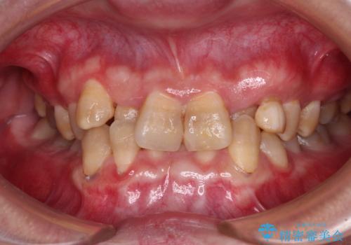
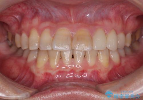
奥に引っ込んでいる前歯を並べたい 矯正治療とセラミック治療


前方に捻れた前歯を治したい インビザライン矯正治療
担当医 藤巻太一朗


【モニター】飛び出した上の前歯 非抜歯矯正で整った口元に
担当医 藤巻太一朗


出っ歯の治療 インビザラインで抜歯矯正 親知らずを使用した矯正


ディープバイトと前歯のデコボコ インビザラインによる矯正治療


内側に引っ込んだ歯を治したい インビザラインの矯正治療


前歯のすき間 歯のがたつき


出っ歯の治療 抜かずに 短期間で目立たない治療


【モニター】デコボコ前歯を治したい ワイヤー装置での抜歯矯正治療


モニター|歯のでこぼこと前歯が引っ込んでいるのを治したい|抜歯矯正で歯のデコボコと正中を改善|ワイヤー矯正
担当医 河野豊嘉


【インビザライン】下前歯だけを治したい


【クリア装置】前歯のがたつきが気になる


全体的なデコボコが気になる。拡大装置を併用したワイヤー矯正


前歯のがたつきをすっきり マウスピース矯正
担当医 大元洋佑


ワイヤー矯正歯科治療の注意事項(リスク・副作用など)
- 治療中は違和感や痛みが起こることがあります
- 症状により、抜歯が必要な場合があります
- 治療中は歯磨きがしにくくなるため、虫歯や歯周病になりやすくなります
- 矯正治療後の保定が不十分だと後戻り(元の位置に戻ろうとする動き)をします
- 自費診療(保険適用外)となります
マウスピース矯正の注意事項(リスク・副作用など)
- 口腔内・歯並びの状態によっては対応できない場合があります
- マウスピース型矯正装置の長時間装着が必須です
- 治療計画通りに進めるためには、患者様の意志が重要になります
- 矯正治療後の保定が不十分だと後戻り(元の位置に戻ろうとする動き)をします
- 自費診療(保険適用外)となります
